
インプラント治療とは?
兵庫県三木市の歯医者 みらい歯科・矯正歯科クリニック
インプラント治療は、顎の骨にインプラント(人工歯根)を埋め込み、その上にセラミック製の人工歯や特殊な入れ歯を装着して歯の機能を補う治療法です。
顎の骨としっかり結合するため、自分の歯で噛んでいるのに近い自然な噛み心地が得られます。見た目も自然で、見た目と機能の両方を回復できる治療です。
兵庫県三木市の歯医者「みらい歯科・矯正歯科クリニック」では、患者さん一人ひとりに合わせた丁寧なインプラント治療をご提供しています。
初めての方でもリラックスしてご相談いただけるよう、治療内容や流れについて分かりやすくご説明します。
インプラント治療
について
兵庫県三木市の歯医者 みらい歯科・矯正歯科クリニック
価格を抑えたうえで精度の
高い治療を行っています
外科手術を要するインプラント治療を成功させるためには、精密な検査と正確な治療が欠かせません。兵庫県三木市の歯医者 みらい歯科・矯正歯科クリニックではインプラント治療を安全で正確に行うためにシミュレーションソフトを用いて、設計したうえで手術を行います。顎の骨の詳細情報や神経の位置などを把握し、治療を行うため安全性を高めることができます。豊富な実績と経験をいかし、そのうえ価格を抑えたインプラント治療をご提供しています。
当院の治療法について
人工歯根を顎の骨に埋め込むインプラント治療では、インプラントを埋め込むのに十分な顎の骨が必要です。厚みや幅などが足りず、他院で「治療できません」と断られてしまった方も一度ご相談ください。顎の骨の量を増やす療法を行うことで、インプラント治療を可能になる場合があります。お口の状態に合わせて当院が行っている再生療法をご紹介します。

サイナスリフト
奥歯の上顎の顎の骨が足りない場合に、歯ぐきの横から骨補填材や自家骨(自分の骨を細かく砕いたもの)を注入して顎の骨の厚みを確保する方法です。歯肉を切開して骨に穴を開けて骨を増やします。

ソケットリフト
サイナスリフトと同じように上顎の奥歯部分の顎の骨が足りない場合に行う処置です。インプラントを埋めるための穴を開け、そこから骨補填材や自家骨を注入します。ソケットリフトと同時にインプラントを埋め込むこともあります。

GBR
骨誘導再生法ともよばれる処置で顎の骨が不足している部位に骨補填材や自家骨を入れメンブレンという膜で覆い、歯肉を縫合して骨の再生を促す処置です。不足している骨が少なめの場合は、インプラント埋入と同時に行います。
兵庫県三木市の歯医者 みらい歯科・矯正歯科クリニック
インプラント治療
症例紹介
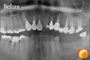
症例1
Before
期間 :11カ月
回数 :6回
費用 :1,274,400円
内容 :インプラント3本、GBR,外科用ステント、セラミック冠3本分含む
After
上の前歯2本を不慮の事故で抜歯せざるをえなかった患者さんです。 人工骨を足してインプラント2本を埋入することにより本物の歯と同じような歯が出来あがりました。
症例2
Before
期間 :3カ月
回数 :6回
費用 :766,800円
内容 :インプラント2本、外科用ステント、セラミック冠3本分含む
After
左下奥3本を失われた患者さんです。3本歯がないからといって3本インプラントが必要なわけではありません。2本インプラントを埋入することにより3本の歯を支えるインプラントブリッジにより治療しました。
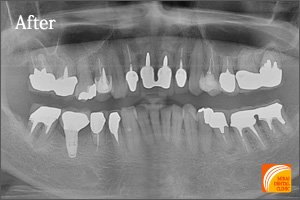
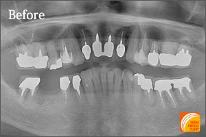
症例3
Before
期間 :3カ月
回数 :4回
費用 :410,400円
内容 :インプラント1本、GBR、セラミック冠1本分含む
After
右下奥歯に1本のインプラントを埋入した患者さんです。前後の歯の状態が良くないため普通のブリッジは適応不可でしたが、1本のインプラントを埋入することにより前後の歯の寿命を伸ばすことが可能になります。
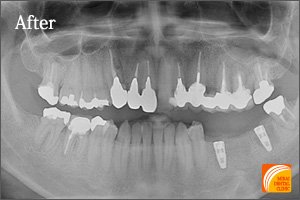
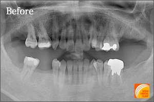
症例4
Before
期間 :5カ月
回数 :6回
費用 :1,155,600円
内容 :インプラント3本、GBR、セラミック冠3本分含む
After
上の歯1本、下の歯2本インプラントを埋入した患者さんです。患者さんのご希望通り、前後の歯を削って歯に負担をかけるブリッジや、違和感があり、こまめな清掃が必要な部分入れ歯を回避できます。
兵庫県三木市の歯医者 みらい歯科・矯正歯科クリニック 初診個別相談 受付中

歯科診療をご提供する際に最優先すべきは、患者さんの気持ちです。診療を受けていただくためには、スタッフ一同が目配り・気配り・心配りを欠かさず、患者さんの立場で考えることが必要だと考えています。
兵庫県三木市の歯医者 みらい歯科・矯正歯科クリニックは治療開始前に患者さんの声にまずはしっかり耳を傾け、様々な治療法・素材の中から選択肢をご用意いたします。
まずはお気軽に歯のお悩みをご相談ください。
動画で見る
インプラント治療
兵庫県三木市の歯医者 みらい歯科・矯正歯科クリニック
インプラント治療の
よくある質問
兵庫県三木市の歯医者 みらい歯科・矯正歯科クリニック
インプラントはどのくらい持ちますか?
適切なメンテナンスを行えば、10年以上機能するケースが多くあります。A歯科医院では、治療後も定期検診や噛み合わせチェックを行い、長期安定をサポートします。
手術は痛いですか?入院は必要ですか?
インプラント手術は局所麻酔で行う日帰り手術が基本です。術中の痛みはほとんどありません。術後の腫れや違和感には個人差がありますが、処方薬等でコントロールに努めます。
治療期間はどれくらいかかりますか?
通常は3〜6か月程度で完了しますが、骨の状態や治癒の進み方によって変動します。A歯科医院では事前に治療の流れと目安期間を丁寧にご説明しています。
費用はどのくらいかかりますか?
インプラントは自由診療のため自費診療となり、部位や本数、使用する素材によって異なります。初診カウンセリングで詳細なお見積りをご案内しています。
メンテナンスはどのように行いますか?
インプラントは天然歯と同様に定期的なケアが重要です。A歯科医院では専用の器具と技術を持った歯科衛生士が担当し、定期検診とクリーニングを行っています。
骨が少ないと言われたことがありますが、治療できますか?
骨量が少ない場合でも、骨造成(GBR)などの追加処置によりインプラントが可能なケースがあります。まずは精密検査で診断し、適切な方法をご提案します。