歯のホワイトニングでイメージチェンジ
オフィスホワイトニングの材料を一新しました!
ご自分の歯の色が気になってらっしゃる方に朗報です(^O^)/
この度、オフィスホワイトニング(歯医者で行うホワイトニング)の材料を一新させていただきました!!
価格変更のご案内
以前使用していた薬剤から変更させていただくことになり、それに伴って価格も変更になりました。
≪変更前≫ \8800/回(2~3回)
≪変更後≫ ¥25,000/回(1回、税抜)
施術回数と効果
以前のオフィスホワイトニングでは複数回の施術が必要でしたが、新しいオフィスホワイトニングでは、一回の施術でもかなり白くなりますので、むしろお得感があります!(^^)!
ご連絡お待ちしています
歯のお色味が気になる方、心機一転したい方ご連絡お待ちしております!
やるかどうかは分からないけど、話だけ聞いてみたい…そんな方も遠慮なくご連絡ください^^
分からないことや気になることあれば、お電話での質問も歓迎いたしますので、お気軽にお電話ください(^^♪
皆様のご来院、心よりお待ちしております♪
ホワイトニングの術前術後の写真
当院でのホワイトニングについての動画をご覧になられたい方は以下をクリックしてみてくださいね(^O^)/

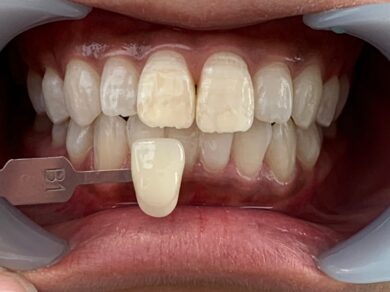
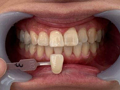
上顎前歯の施術例
右上の口腔内写真(before)がオフィスホワイトニング施術前、下段の写真(after)が施術後です。
写真の歯の色見本『シェードガイド』と比較していただくと、上顎前歯がA1からB1、下顎前歯がA3からB1になっており、かなり白くなっています(^^♪

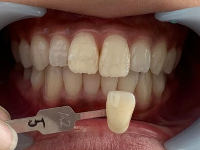
歯科衛生士の施術例

上記は当院勤務のもう一人の歯科衛生士の術前術後の口腔内写真です。左上が施術前、右上が施術後です。
元々歯が白かったので<なんとB2!!>、これ以上白くならないのではないかと危惧しておりましたが、B1まで白くなりました♬
ホワイトニングの安全性と効果

こちらの記事は2020.4.10の神戸新聞の切り抜きです。
昭和大学歯学部の真鍋厚史教授によりますと、ホワイトニングは治療の最終段階であり、健康な歯に対して行う処置であり、虫歯や歯周病のある状態でのホワイトニングは適切ではないとのことです。
ホワイトニングに使用する「過酸化水素」は、歯の表面を覆っているエナメル質を強化する効果があることが研究でわかっています。つまりホワイトニングが虫歯予防にもつながるのです(^O^)/
当院で導入しているオフィスホワイトニング剤は施術直前に常に新鮮な過酸化水素を使用しますので、虫歯予防効果は最大化されます(^^♪
知覚過敏への配慮
当院のオフィスホワイトニング剤は、水分量を20%以上含んでおり、歯の脱水を防ぎ、知覚過敏が出にくいと言われています。
それでも知覚過敏症状を避けたい方には、施術前に知覚過敏抑制剤入りのマウスピース(ウルトライーズ)を30分ほど保持してから施術することも可能です【別途1,500円(税抜)】。