プチ矯正症例40代女性 矯正前

40代女性のプチ矯正とインプラントを併用した特殊症例をご紹介いたします。
※本記事で掲載している写真は、すべて患者様の同意を得て掲載しております。
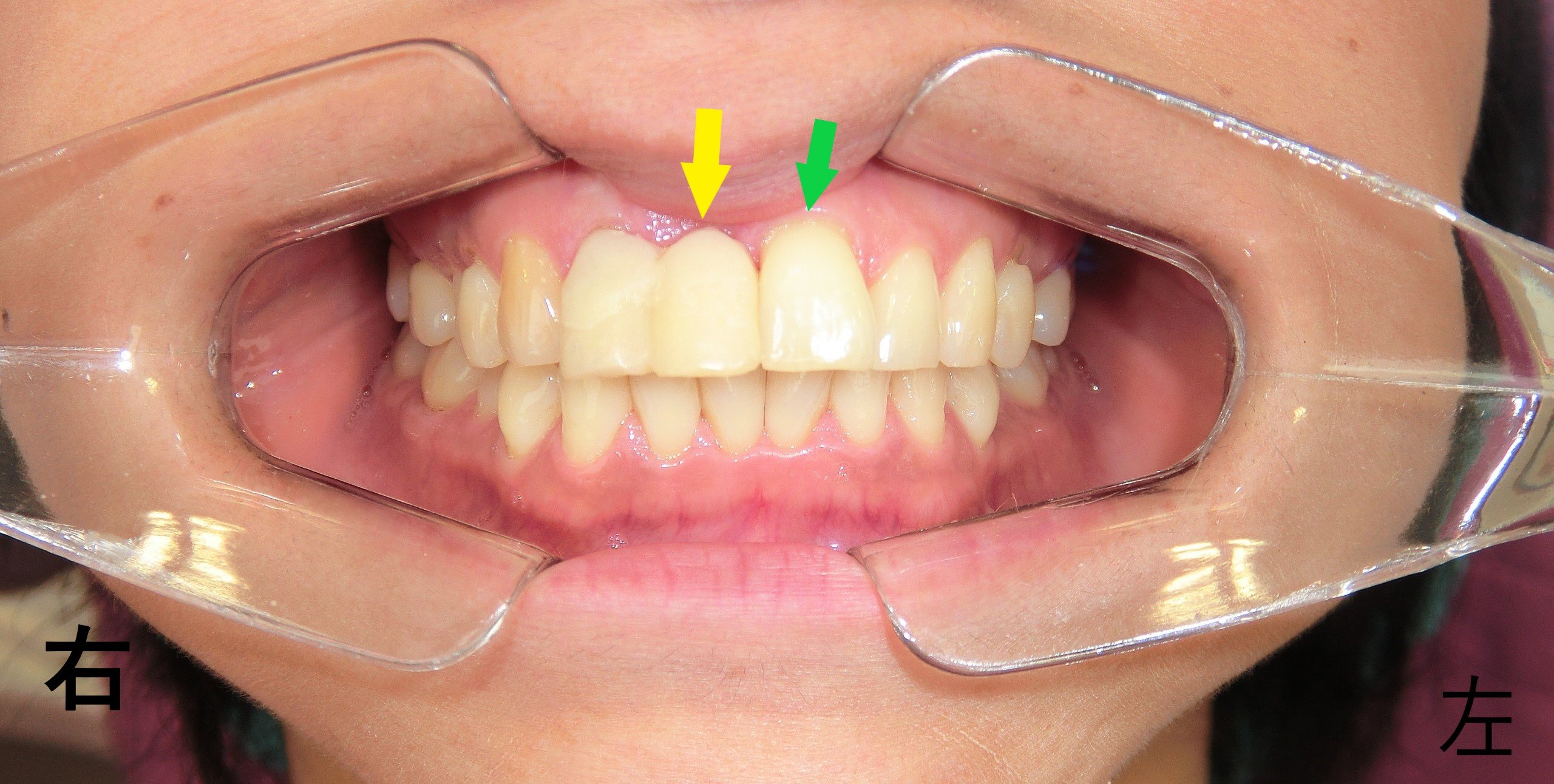
【初診時の状況】 
202X年5月、「右上前歯(黄色矢印)の凹みが気になる」という主訴で来院された患者様の症例です。写真をご覧いただくと、右上前歯が左上前歯(緑色矢印)よりも内側に位置して見えるのが確認できます。
しかし、実際には左上前歯が前方に位置しており、それによって右上前歯が凹んで見えている状態でした。
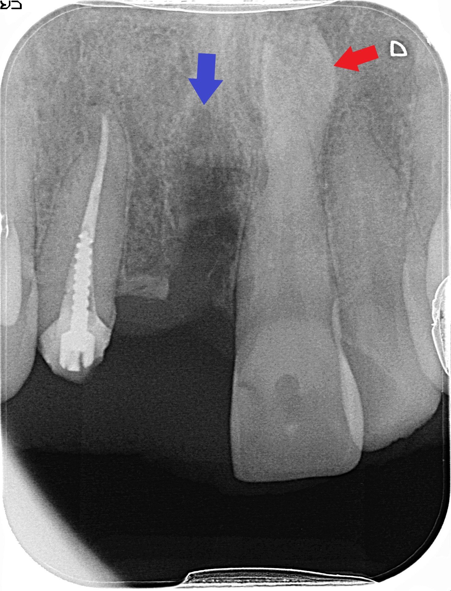
【レントゲンによる診断】


右上前歯は仮歯であり、以前通院されていた歯科医院にて抜歯され、両隣の歯と連結された状態でした。
レントゲン写真からは、仮歯の下に2本の過剰歯(青色矢印)が確認されました。
【治療計画と処置】
患者様は右上前歯にインプラント治療を希望されたため、仮歯下の1本の過剰歯(青色矢印)を抜歯しました。もう1本の過剰歯(赤色矢印)は、位置的に支障がないため経過観察としました。
抜歯後の骨はクレーター状に欠損していたため、インプラント埋入時には人工骨を使用した骨造成術(GBR)を併用しました。
【CT画像・矯正計画】 

前歯部のCT画像で、左上前歯(緑色矢印)を内側に移動させる計画を立てました。通常、プチ矯正では前歯を内側に引っ込める治療は難しく、アライナー矯正やワイヤーによる全顎矯正が適応範囲です。
本症例では、右上前歯をインプラントで固定したことで、強固な固定源を得られたため、左上前歯を内側に動かすことが可能となりました。
※このような症例はまれであり、すべての患者様に適用できる治療法ではありません。
【CT撮影の重要性】
当院では、インプラント治療をご希望のすべての患者様に対し、CT撮影を実施しています。3次元的な診断が可能となり、治療の安全性を高めることができます。
【治療過程の写真】 

ブラケットとワイヤーを装着した直後の写真では、左上前歯の突出が正面からではわかりにくい場合もありますが、角度を変えることで明確に確認できます。
次回は、本症例の治療完了後の状態について、写真とともにご紹介いたします。
※治療後の詳細はこちら:
[https://www.miraidc.com/blog/post-178/?pre=20200423122316](https://www.miraidc.com/blog/post-178/?pre=20200423122316)
みらい歯科・矯正歯科クリニックには、三木市だけでなく神戸市西区、神戸市北区、明石市、小野市、加東市、加西市など広範囲から多くの患者様にご来院いただいております。お気軽にご相談ください。