部分矯正<プチ矯正>症例40代女性

Conceptual image of a tooth under a magnifying glass, showing the smooth, protected enamel surface, enamel care, tooth protection

40代女性の部分矯正(プチ矯正)症例をご紹介いたします。
※写真はすべて患者様の同意を得たうえで掲載しております。
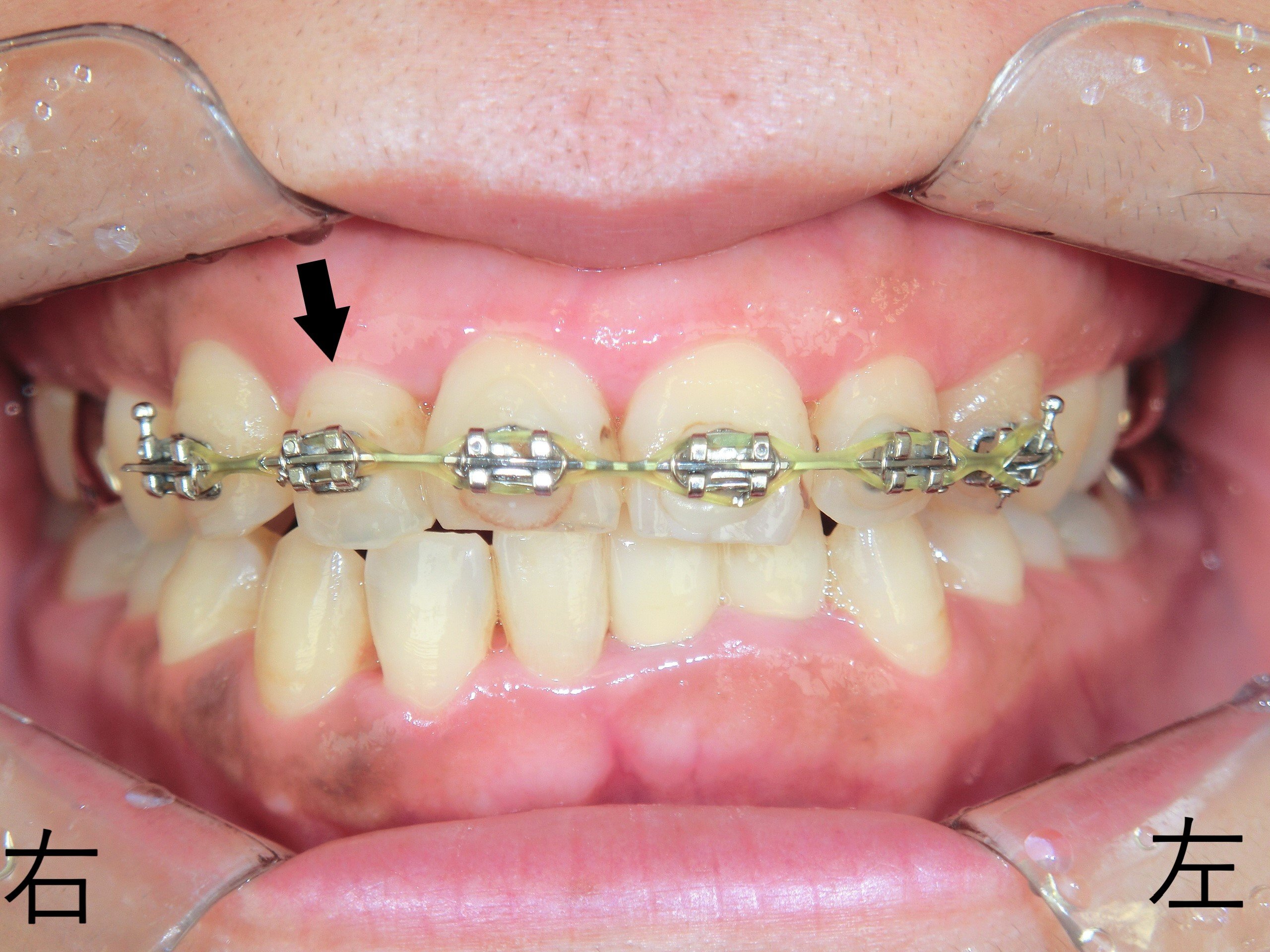
【治療前の状態】
正面写真では、右上側切歯(黒色矢印)が下顎前歯の内側に入り込んでおり、本来あるべき上顎前歯の位置関係とは逆転している状態でした。
この患者様は虫歯・歯周病治療で通院中に、歯周病への不安と顎関節の不調を訴えられていたため、右上側切歯の前方移動を目的とした部分矯正(プチ矯正)をご提案しました。
【治療概要】
8か月間の治療により、右上側切歯は前方に移動し、他の上顎前歯と調和した歯列を形成できました。

【治療中の経過】
治療は金属製のブラケットとワイヤーを使用して実施しました。審美性を重視される方にはセラミック製ブラケットや白色ワイヤーも選択可能です。
【治療結果と補足】
治療前と治療後の口腔内写真や石膏模型を比較すると、右上側切歯が明確に移動しているのが確認できます。

本症例のように、適応が限られる部分矯正でも、患者様の症状や希望に応じた対応が可能です。
ただし、部分矯正はすべての前歯の歯並びを改善できるものではなく、適応範囲には制限があります。全顎的な咬合や骨格の問題がある場合は、全体矯正を検討する必要があります。
また、わずかな歯列の乱れでも、顎関節や咀嚼機能に影響を及ぼすことがあります。以下のような症状がある方は、歯並びや噛み合わせの精査をおすすめいたします。
・顎が開きにくい・音が鳴る
・顎が疲れやすい
・食いしばり・歯ぎしり
・肩こり、頭痛
片側でしか噛まない習慣
顔の左右差、顎の歪み
いびきや口呼吸
口を閉じにくい、唇が乾く
歯並びや咬み合わせは、見た目だけでなく身体全体の健康にも関係します。少しでも気になる点がございましたら、お早めに歯科医にご相談ください。
みらい歯科・矯正歯科クリニックでは、三木市のほか、神戸市西区・北区・明石市・小野市・加東市・加西市などからも多くの患者様にご来院いただいております。お気軽にご相談ください。