インプラント症例70代女性

70代女性の全顎的インプラント治療症例をご紹介いたします。
※写真掲載はすべて患者様の同意を得ております。
【初診時の状況】
長期間入れ歯を使用されておらず、主に前歯で噛む生活が続いていたため、前歯に過度な負担がかかり、上下ともに動揺(グラつき)が顕著となっていました。加えて、歯周病の進行により全体的な治療が必要と判断されました。

【レントゲンおよび口腔内診査】
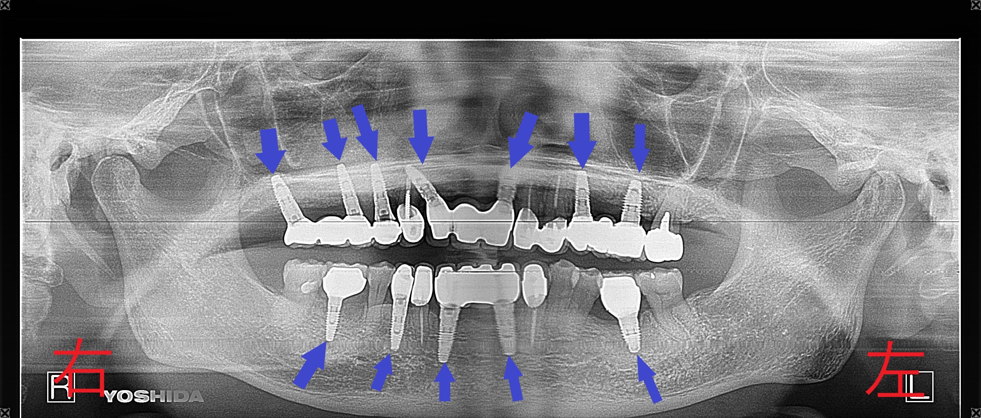
歯槽骨の吸収が著しく、全体的な歯周病の進行が確認され、初診時点では詳細な治療計画を立てるのが困難な状況でした。さらに、長期間の義歯不使用により右下奥歯が挺出していた(歯が伸びていた)ことも確認されました。

【治療計画のご説明と同意】
・上下の仮歯で審美性と咬合を一時的に回復
・歯周病治療の徹底
・抜歯本数の最小限化(ただし進行状況により変更の可能性あり)
・入れ歯を避けたいというご希望により、インプラント治療を選択
【インプラント埋入と最終補綴】


・上顎に7本、下顎に5本のインプラントを埋入(青色矢印)
・咬合平面の再構築を実施
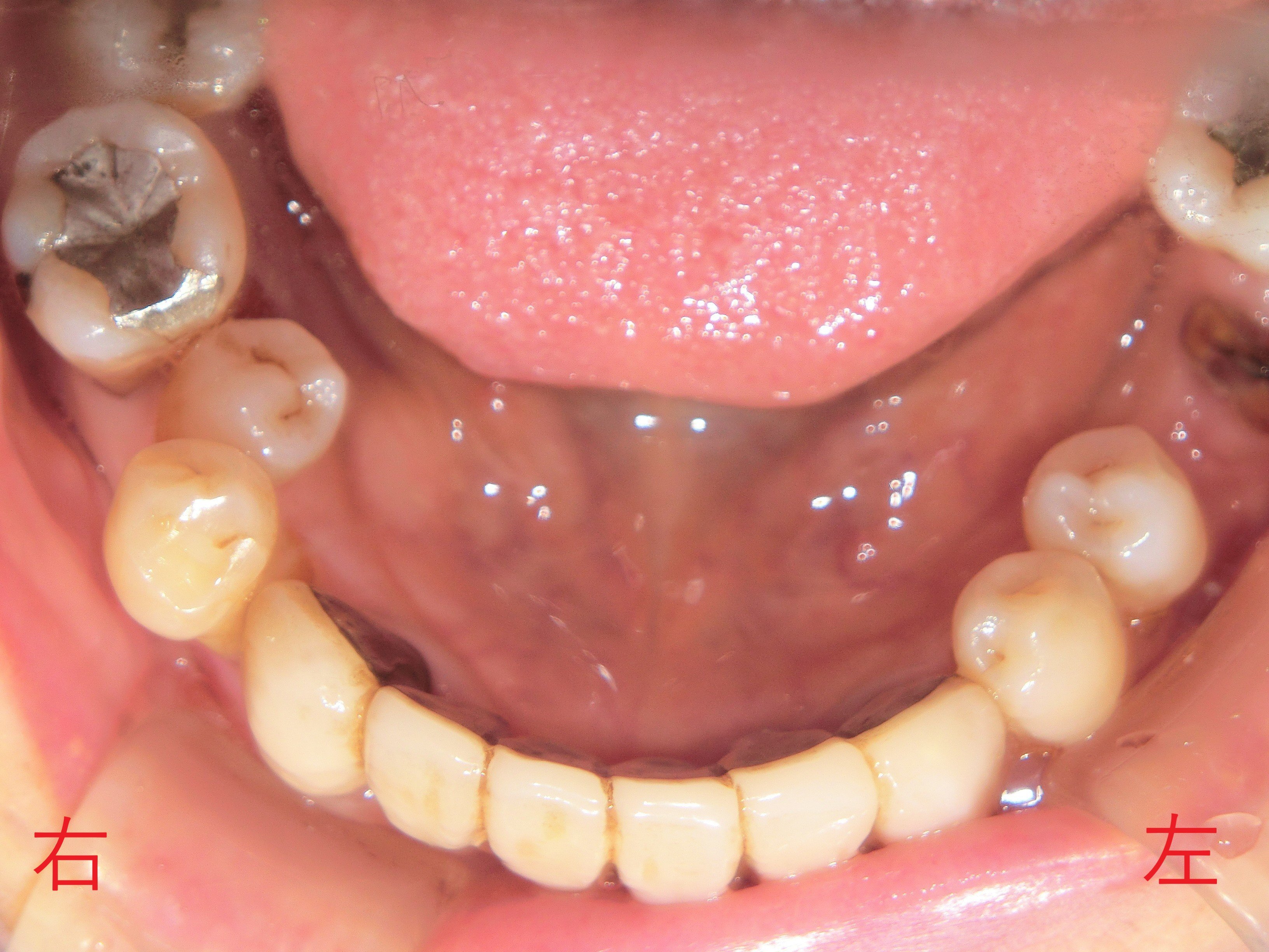
・一部の天然歯(黄色矢印)は削合・神経除去なしで保存し、咬合関係を確保
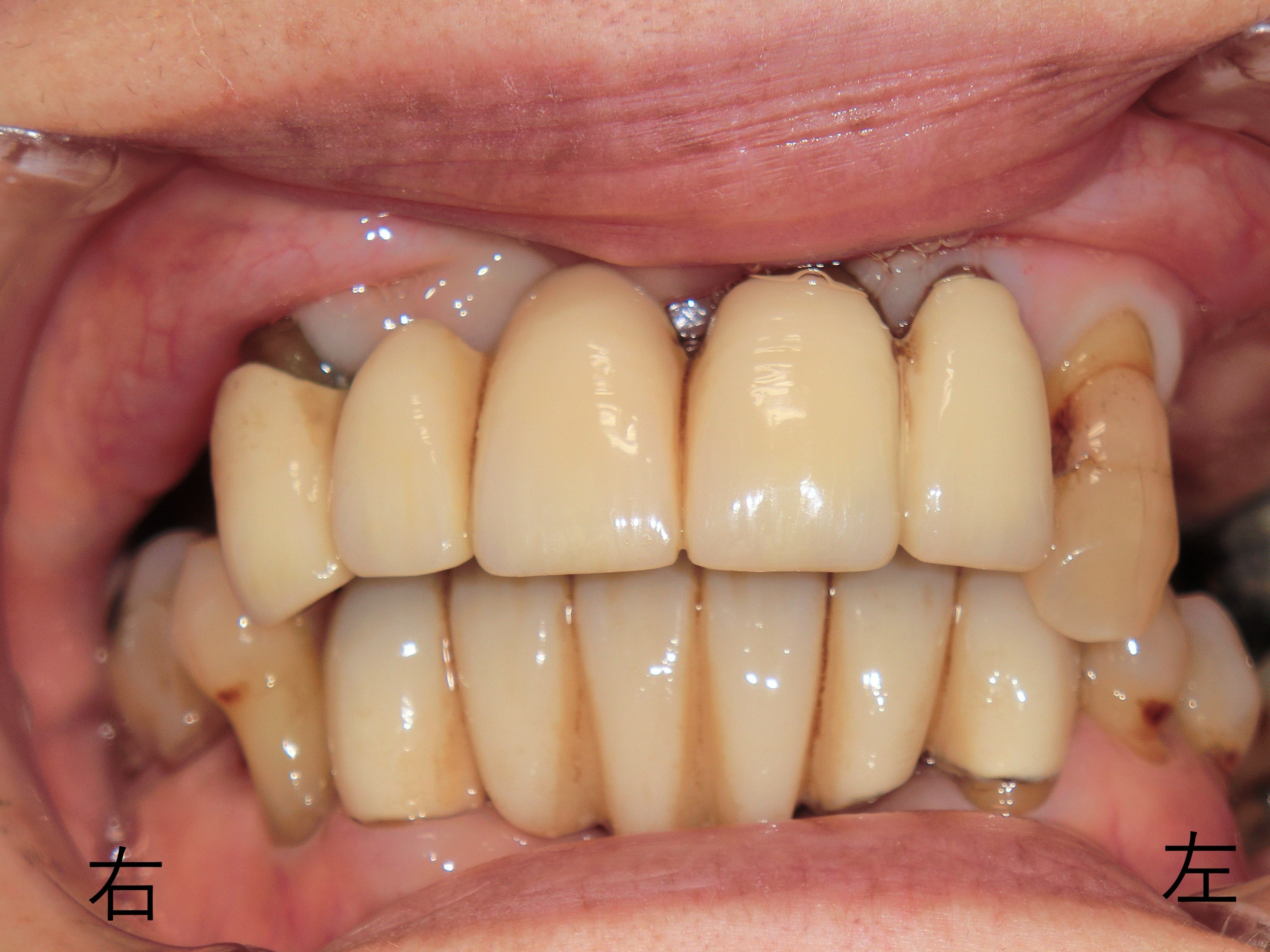
・ 被せ物のマージンは清掃性を考慮して歯茎より上に設定
・ 被せ物の色調は写真よりも実際は明るく、患者様も仕上がりに満足されていました
【セルフケアと予防】
・今後は3か月ごとのメンテナンスと毎日のセルフケアの継続が必要
・「治療完了」はあくまでもスタートラインであり、長期的な維持管理が最も重要
【治療期間・費用】
・治療期間:約24か月
・通院回数:72回
・費用:6,069,600円(税込)
※インプラント12本、GBR、ソケットリフト、外科用ステント、セラミック冠を含む
患者様には治療期間中のご理解とご協力をいただき、心より感謝申し上げます。
みらい歯科・矯正歯科クリニックには、三木市をはじめ神戸市西区・北区・明石市・小野市・加東市・加西市など、遠方からも多くの患者様にご来院いただいております。お気軽にご相談ください。