成人矯正症例20代女性 術前

こちらは兵庫県三木市にお住まいの20代女性患者様の、前歯の噛み合わせを下から見上げた状態を撮影した口腔内写真です。
なお、写真の掲載にあたっては患者様の同意をいただいております。
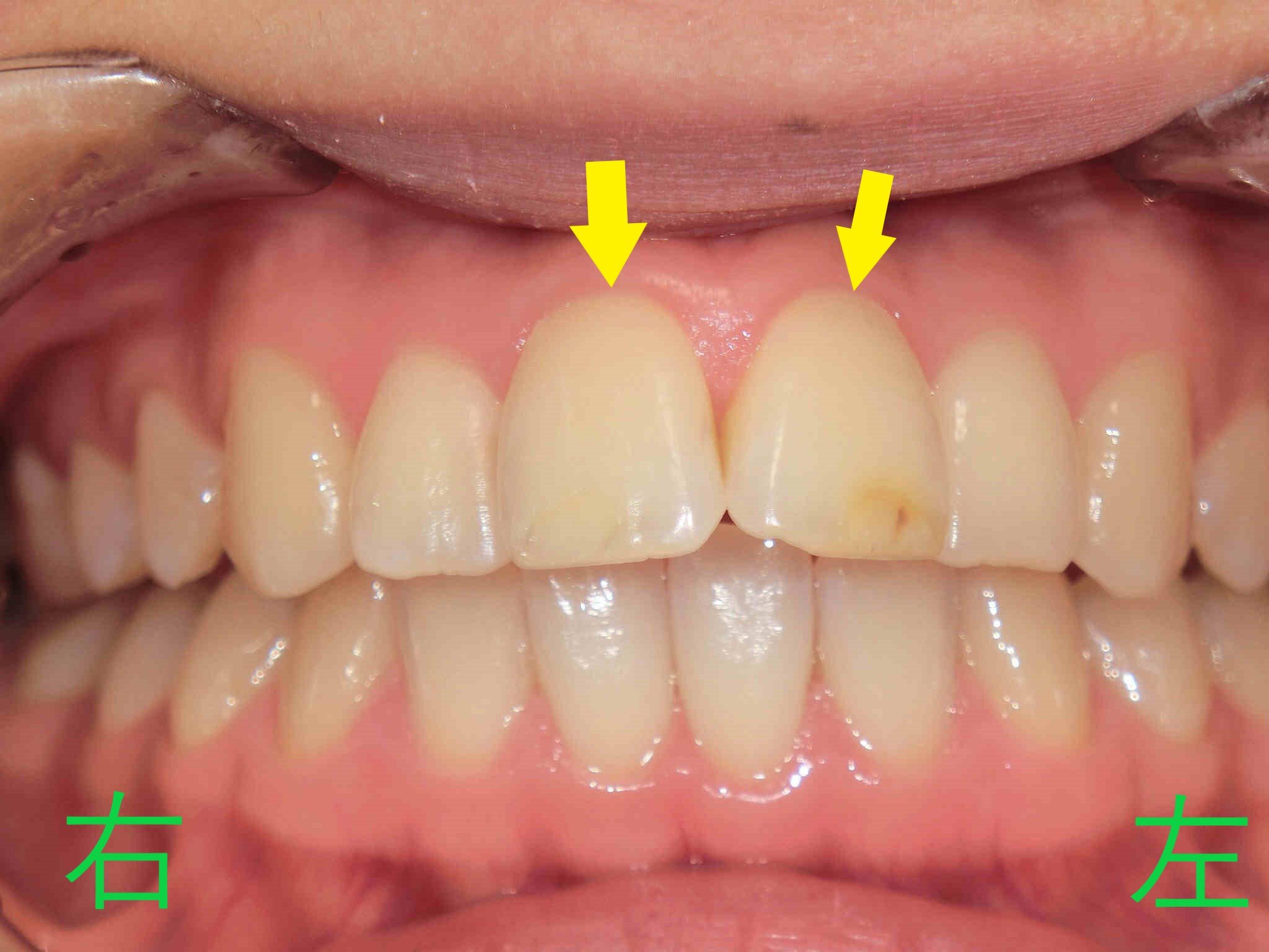
この患者様は、上顎前歯(黄色矢印)の前突(いわゆる出っ歯)を主訴として来院されました。写真からも、上顎前歯が下顎前歯と全く接触していないことが確認できます。

正面から撮影した口腔内写真でも、上顎前歯が前方に突出しており、そのために唇に力を入れないと口を閉じにくい状態であったことがわかります。
患者様は、当院で導入している部分矯正(プチ矯正)やマウスピース型矯正装置(アライナー)による治療をご希望されていましたが、前突の程度が中等度以上であったため、上下のバランスを取るには、上顎両側の第一小臼歯を抜歯したうえで、ブラケットとワイヤーを用いた全体矯正(フル矯正)が必要でした。
部分矯正やマウスピース矯正は治療期間が比較的短く(最長8か月)、費用も抑えられることから、患者様の身体的・経済的負担を軽減する選択肢となり得ますが、すべての症例に適応できるわけではありません。

矯正前の石膏模型を横から撮影した画像では、上顎前歯が下顎前歯に比べ大きく前方に出ているように見えますが、実際には上顎が前に出ているのではなく、下顎が後退していることが原因と考えられます。
小児期(混合歯列期)であれば骨格的成長を利用して下顎の前方成長を促す治療も可能ですが、成人の場合は成長が終了しているため、上顎前歯の後方移動によって改善を図る必要があります。

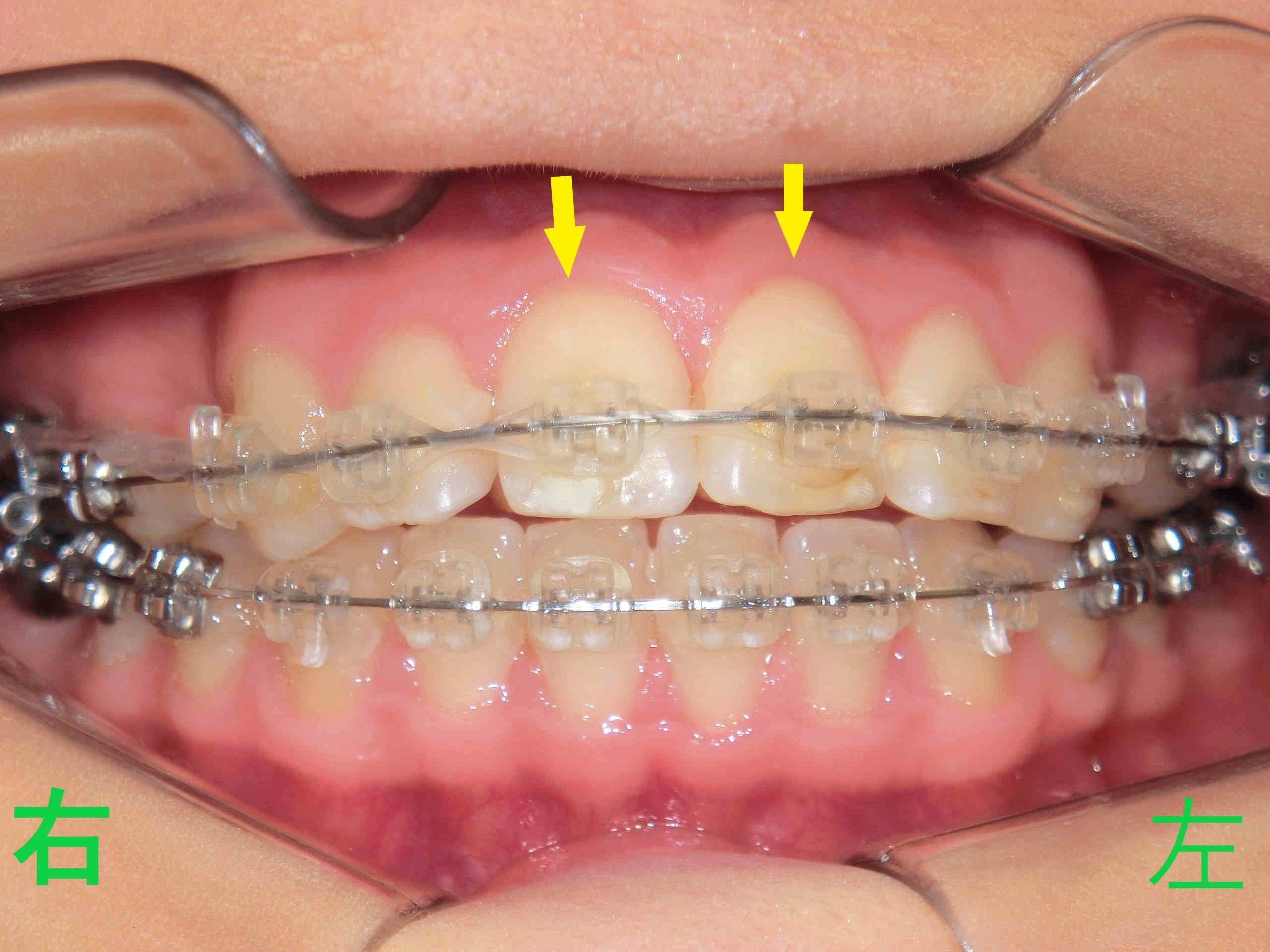
矯正開始から8か月後の口腔内写真では、上顎前歯(黄色矢印)の突出感が軽減され、下顎前歯との隙間が狭くなっているのが確認できます。
また、上顎を下から撮影した写真(同8か月後)では、抜歯した第一小臼歯のスペースに向けて、犬歯を含む前歯群が後方へ移動している様子が見られます(青色矢印)。
矯正治療中の痛みに関しては、当院では生体に優しい弱い力を用いた矯正方法を導入しており、痛みを最小限に抑えることが可能です。
実際に患者様からは「最初の2~3か月は少し痛みを感じたが、それ以降はほとんど気にならなかった」との声もいただいております(※個人の感想です)。
矯正治療中の痛みに関する感じ方には個人差がありますが、当院の方法は従来型の矯正治療と比較して痛みが出にくい傾向があります。

矯正開始から13か月後の写真では、上顎前歯の前突感がさらに軽減されているのが明瞭です(黄色矢印)。また、同時期の上顎歯列の写真(下から見上げたもの)では、抜歯した第一小臼歯のスペースがほぼ閉鎖されている様子が確認できます(青色矢印)。
治療完了後の状態をご覧になりたい方は、以下のリンクよりご確認ください:
[https://www.miraidc.com/blog/post-134/](https://www.miraidc.com/blog/post-134/)
みらい歯科・矯正歯科クリニックには、三木市をはじめ、神戸市西区・神戸市北区・明石市・小野市・加東市・加西市など、広範な地域からご来院いただいております。矯正治療に関するご相談は、お気軽にお問い合わせください。