インプラント症例 70代男性

こちらは、三木市にお住まいの70代男性患者様のレントゲン写真で、上下の入れ歯の不調を主訴として来院された際のものです。
なお、写真の掲載にあたっては患者様の同意をいただいております。
上顎はすべての歯を喪失されており、総義歯(フルデンチャー)を装着されていました。下顎には、残存歯を支えとする義歯(オーバーデンチャー)を装着されていましたが、歯周病の進行により下顎の歯が著しく動揺し、抜歯が不可避の状態でした。
抜歯後、新たに上下総義歯を作製し、調整を重ねることで食事中の痛みは改善されましたが、「下顎の入れ歯が外れやすい」との訴えが続きました。
患者様ご自身で調べられ、インプラントを支えとする義歯(インプラントオーバーデンチャー)をご希望されました。

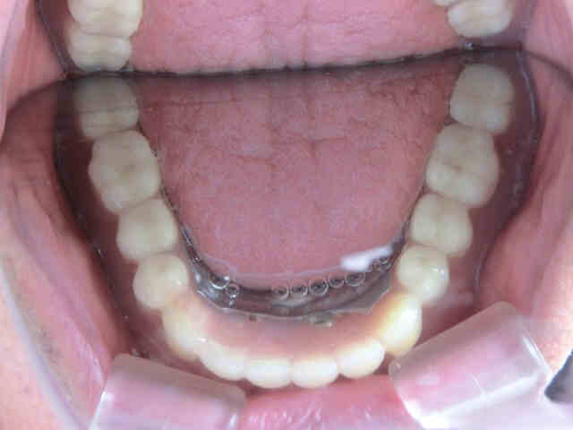
その後、下顎に2本のインプラントを埋入し、3か月後にはインプラントにロケーターアバットメントを装着しました。これは、義歯を安定的に支えるためのパーツで、インプラントに装着された金色のパーツ(赤色矢印)が、入れ歯の安定性を高める役割を果たします。

インプラントを介して咀嚼力が直接下顎の骨(歯槽骨)に伝達されるため、骨の吸収(廃用性萎縮)の予防にも効果があります。

新たに作製した義歯は金属フレームを内蔵した耐久性の高い金属床義歯で、装着時は軽く押し込むだけで装着でき、ピンク色の床部分を持ち上げると簡単に取り外せます。この構造により、インプラント周囲の清掃や義歯の洗浄が容易で、衛生的な管理が可能です。

ただし、インプラントの長期的な安定には、自宅でのセルフケア(ブラッシング)と歯科医院でのプロフェッショナルケア(定期メンテナンス)の両立が不可欠です。これらが不十分な場合、天然歯と同様にインプラントも歯周病に罹患し、最終的に撤去せざるを得ないことがあります。
当院では、3か月に一度の間隔でメンテナンスに来院していただいている患者様には、インプラント本体には10年間、インプラントオーバーデンチャーには5年間の保証期間を設けさせていただいております。