金属製のバネを使用しない入れ歯(ノンクラスプデンチャー)症例 50代女性

こちらは兵庫県三木市にお住まいの患者様の口腔内を撮影した写真です。
※写真の掲載には患者様の同意をいただいております。
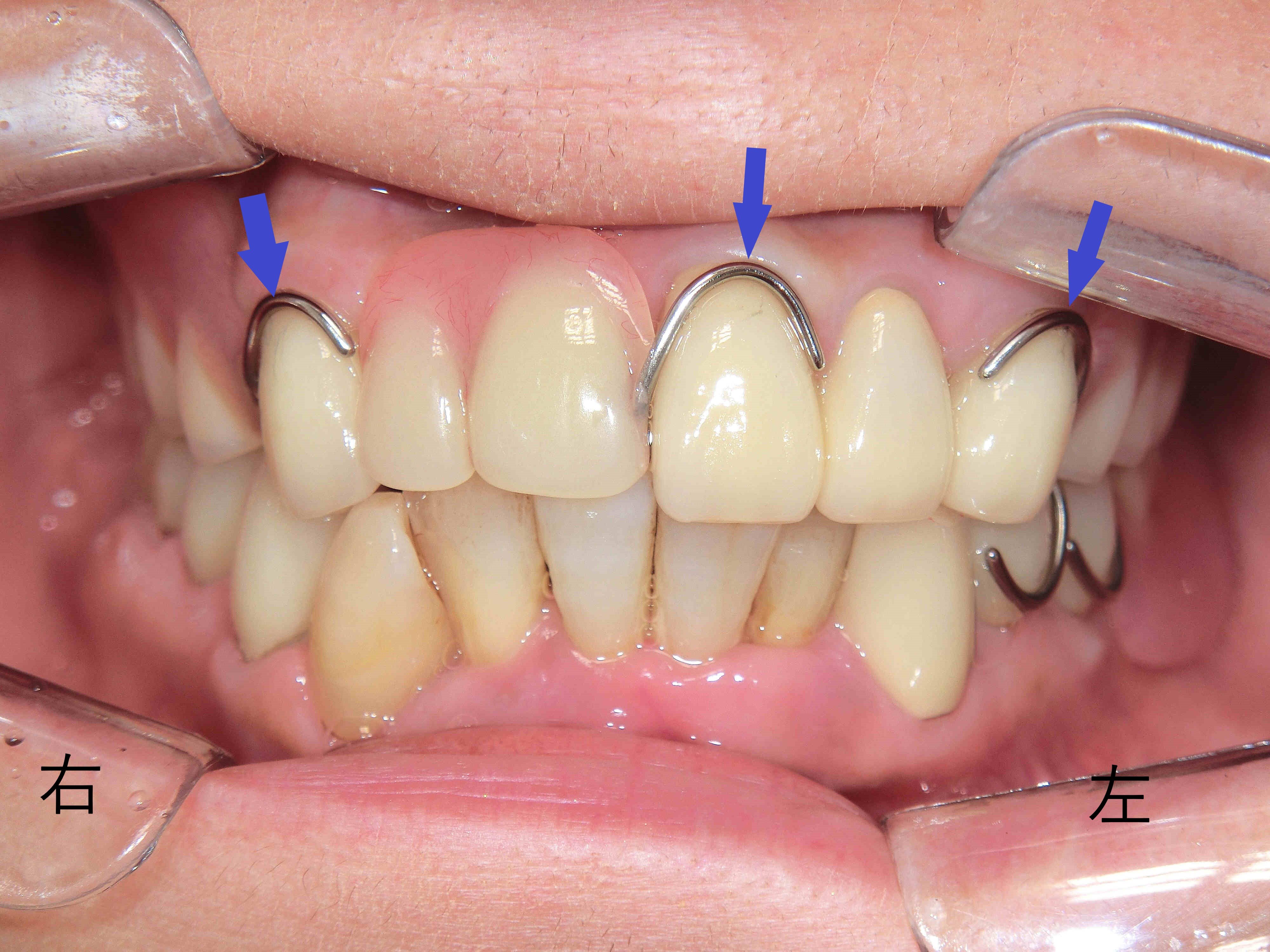
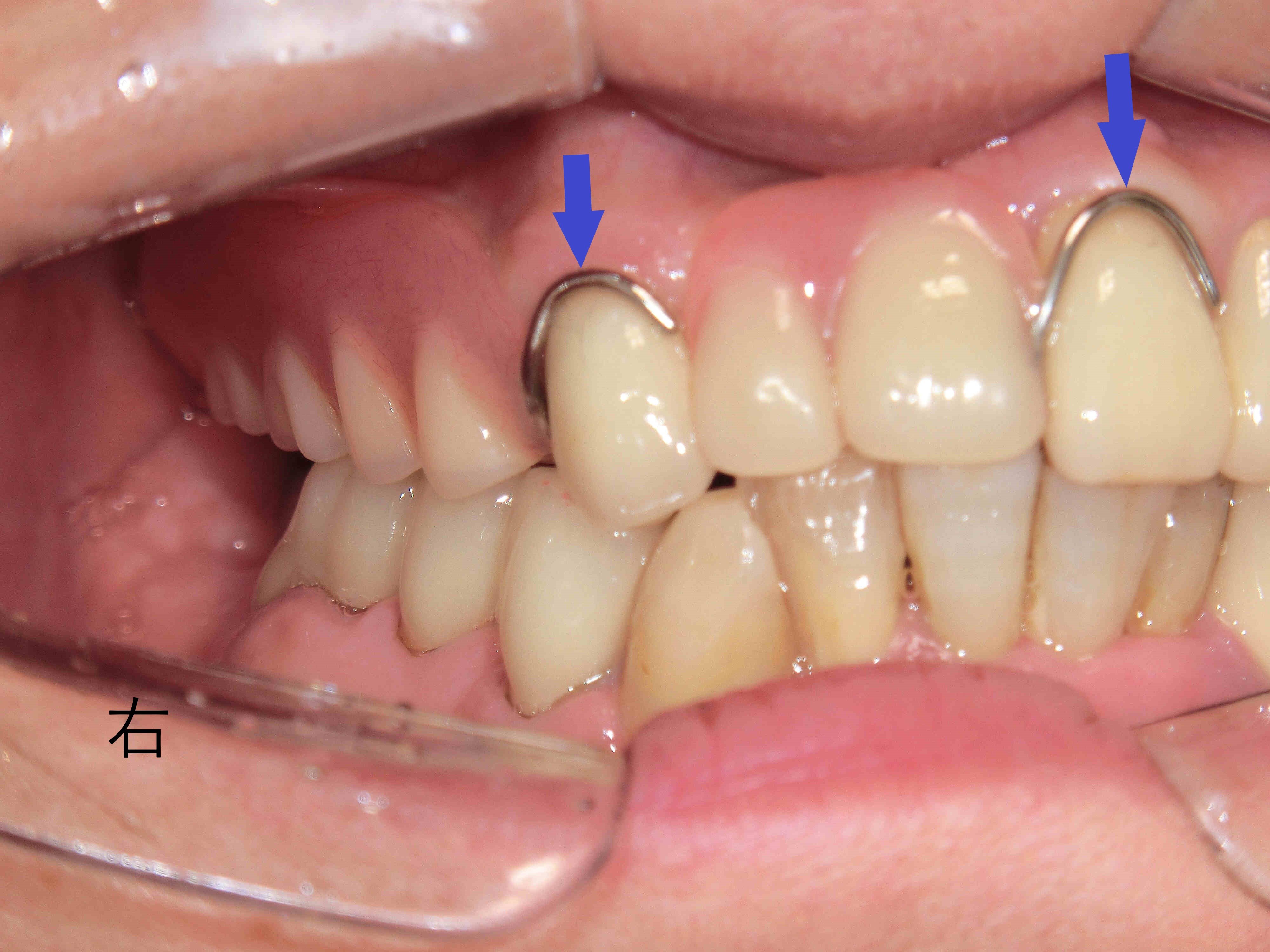
上下顎に保険適用の義歯を装着した状態を正面から撮影したもので、上顎には前歯しか残存歯がなく、その前歯に義歯を固定するため、金属製のバネ(クラスプ)を装着する必要がありました(青色矢印)。
前歯部に金属のバネがかかっているため、審美性が損なわれているのがわかります。
この患者様は中等度以上の歯周病に罹患しており、抜歯を含む全顎的な治療が必要となったため、義歯による補綴治療が選択されました。
初めて義歯を装着されるにあたり、「入れ歯になるのは仕方ないが、仕事上、金属のバネが見えるのは避けたい」とのお申し出がありました。
しかし、金属製のバネを使用しない義歯(ノンクラスプデンチャー)は保険適用外のため治療費が高額となること、また義歯装着が初めてであることから、まずは上下ともに保険の義歯を作製する方針をご提案し、ご理解をいただきました。
一般的に、欠損歯が多い場合、義歯のサイズが大きくなるため、装着時の違和感も大きくなります。また、嘔吐反射が強い方は義歯自体の装着が困難なケースもあります。
そのため、まず保険の義歯に慣れていただき、後日改めてノンクラスプデンチャーを検討いただくという段階的治療をおすすめしました。
【ノンクラスプデンチャー装着後】
上顎に金属のバネを使用しないノンクラスプデンチャーを装着した状態を正面から撮影した写真では、歯ぐきと似た色の樹脂製のバネが用いられており、前述の保険義歯と比較して審美性が大幅に向上しています(青色矢印)。

また、口蓋部には保険義歯に使用される樹脂ではなく、チタン製の金属床が用いられており、義歯を薄く仕上げることができています。
患者様からも「薄くなって話しやすくなり、違和感が少なくなった」との感想をいただいております(※個人の感想です)。
【金属床のメリット】
高い強度による破折リスクの低減
熱伝導性が高く、食事中に温度を感じやすい
今回の患者様は金属アレルギーの既往があったため、三木山陽病院の皮膚科でパッチテストを実施し、一般的な義歯金属であるコバルトクロム合金の使用が不可と判明しました。そのため、チタン合金による金属床を選択しました。
チタンは軽量で金属味が少なく、アレルギーの発症リスクも低いため、装着感に優れる一方で、治療費が高額になる傾向があります。
なお、ノンクラスプデンチャー=金属床とは限らず、保険義歯と同様の樹脂床で作製することで費用を抑えることも可能です。ただし、樹脂床は強度面から厚みが必要となり、違和感が増す傾向があります。
また、樹脂床のノンクラスプデンチャーは“たわみ”が大きくなることがあるため、欠損歯が多い場合には、かえって保険義歯のほうが噛みやすいというケースもあります。
【今回の症例について】
治療費:44万円(税込)
治療期間:約2か月
来院回数:8回
みらい歯科・矯正歯科クリニックには、三木市をはじめ神戸市西区・神戸市北区・明石市・小野市・加東市・加西市など、広範囲から患者様にご来院いただいております。
義歯の見た目や装着感についてのお悩みがございましたら、ぜひ一度ご相談ください。