部分矯正症例20代男性


上記写真は、みらい歯科・矯正歯科クリニック に来院された、兵庫県神戸市北区にお住まいの20代男性の前歯に限定した矯正治療(いわゆるプチ矯正=部分矯正)症例です。写真掲載につきましては、患者様の同意をいただいております。
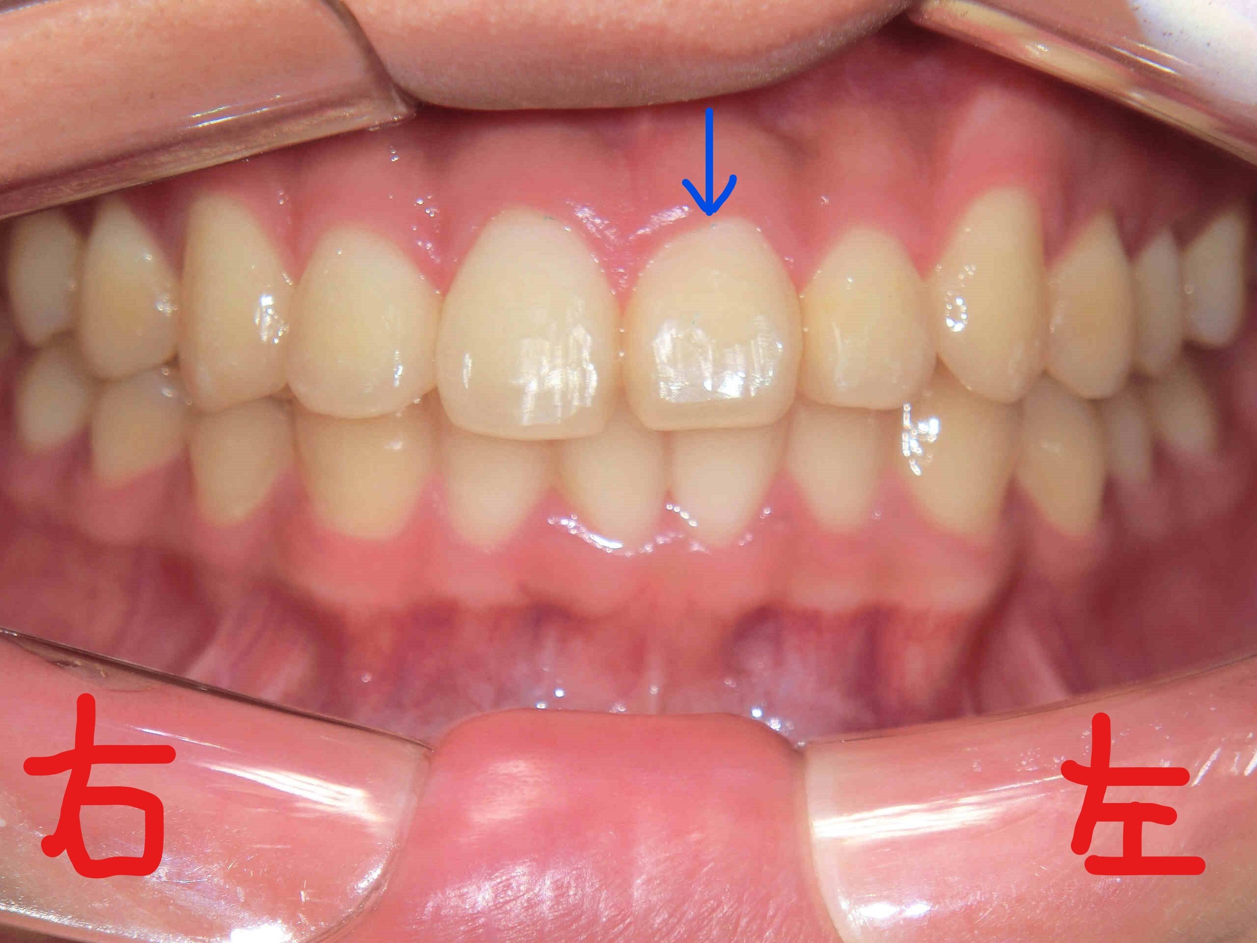
上段の写真が矯正開始前、下段の写真が矯正終了直後のものです。
患者様は、左上の前歯(青色矢印)の“歪み(捻転)”を以前から気にされており、当院まで遠方よりご来院くださいました。
![]()
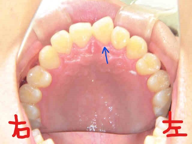
左上の写真は、上顎前歯にブラケット(ボタン)を装着した直後の状態、右上がブラケット装着前に上顎を下から見上げた写真です。主訴である左上の前歯がかなり捻転している様子がご確認いただけると思います。
![]()
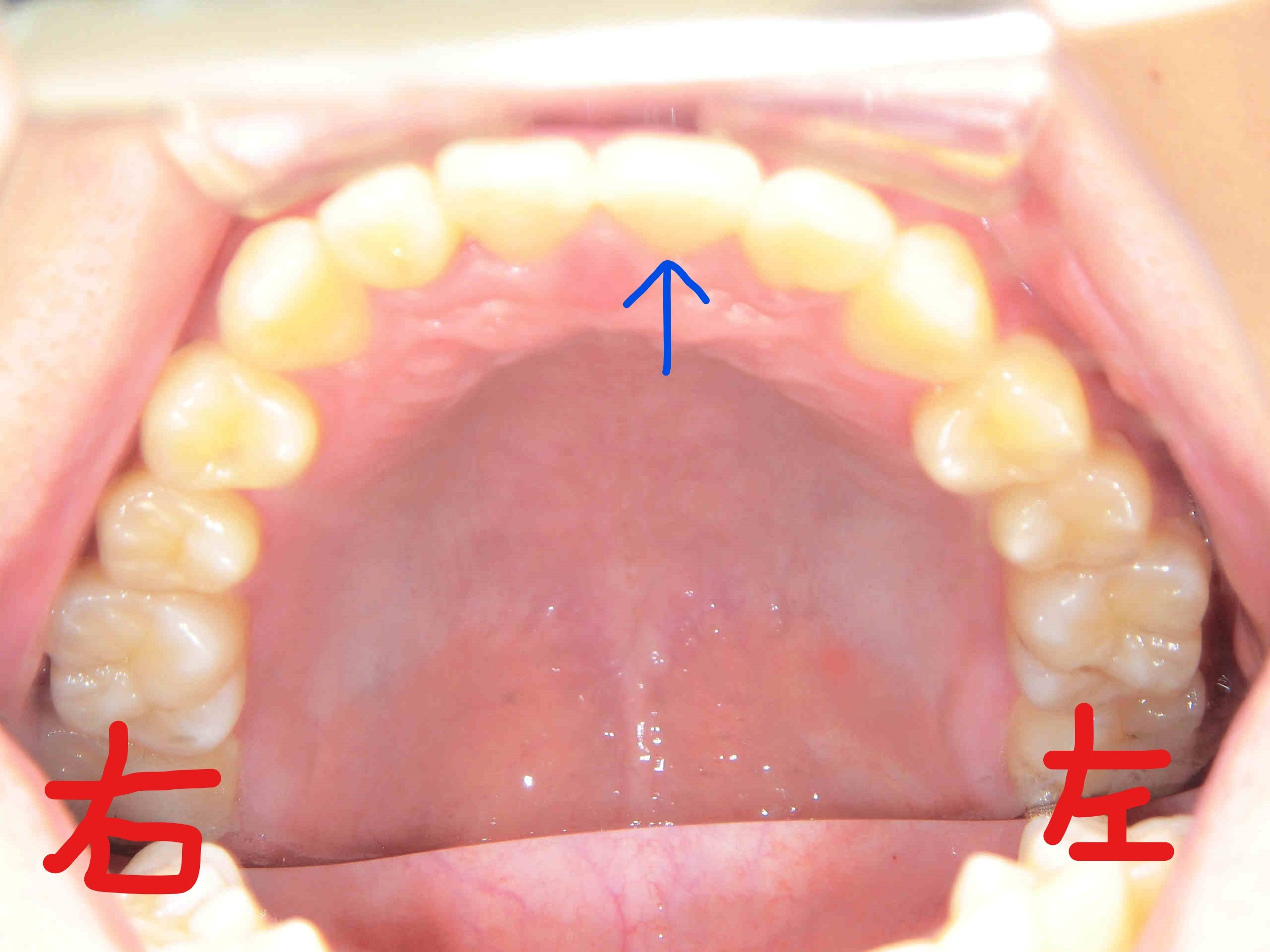
次に、左上がブラケットを撤去する直前の上顎を下から見上げた写真、右上がブラケット撤去直後の写真です。青色矢印の歯にご注目ください。左上の前歯の捻転がしっかりと改善されているのがお分かりいただけると思います。
治療期間は2週間に一度ご来院いただき、わずか6 か月で完了しました。上下全顎にブラケットを装着して並べていく一般的な全顎矯正とは異なり、前歯のみを対象とした部分矯正だからこそ実現できたスピードです。患者様からも「こんなに早く終わるとは思わなかった」と驚きの声をいただきました。
治療期間:6 か月/来院回数:12回/治療費:調整料を含めて221,880円(税込)
部分矯正は、歯の“捻転”やわずかなガタガタ(叢生)といった、前歯に限った軽度の歯並びトラブルであれば、上顎・下顎ともに最長8 か月程度での改善が見込めます。全顎矯正で見られる装置装着時の痛み・違和感も、前歯のみにつけるため比較的軽く抑えられます。ただし適応症例が限られておりますので、すべての方にご提案できるわけではありません。
当院は三木市のみならず、神戸市西区・神戸市北区・明石市・小野市・加東市・加西市など、遠方からもご来院いただいております。前歯の歯並びが気になる方は、ぜひお気軽にご相談ください。”

