金属アレルギー④
20歳の女性から以下のような症状のご相談がありました。
歯ぎしりや食いしばりの癖がある
起床時に口臭が気になる
偏頭痛があり、2日に1度は鎮痛薬を服用している
貧血はないが、しばしば立ちくらみを感じることがある
日常的にスマートフォンをよく使用している

この方のお口の中の状態が、左上の写真です。このような金属の被せ物をご使用中の方もいらっしゃるかと思います。
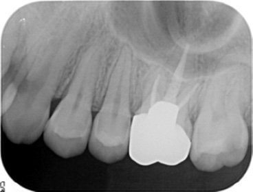
右上のレントゲン写真では、真っ白く映っている部分が金属の被せ物です。

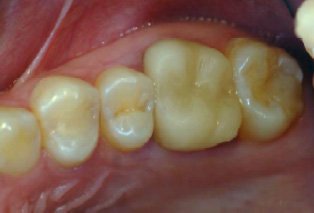
これらの銀歯と土台を除去してみると、内部が黒く変色していることが確認できました。変色部分と金属の被せ物を丁寧に除去し、金属を使用しない被せ物に置き換えました。
その結果、患者様からは、これまで感じていた複数の症状が改善したとの報告がありました。ただし、こうした症状の改善には個人差があり、すべての方に同様の効果があるとは限りません。

みらい歯科クリニックでは、金属アレルギーが疑われる場合には、お一人おひとりの症状とご希望に応じて、適切な治療法をご提案しております。ご不安のある方はお気軽にご相談ください。