インプラント症例 30代男性

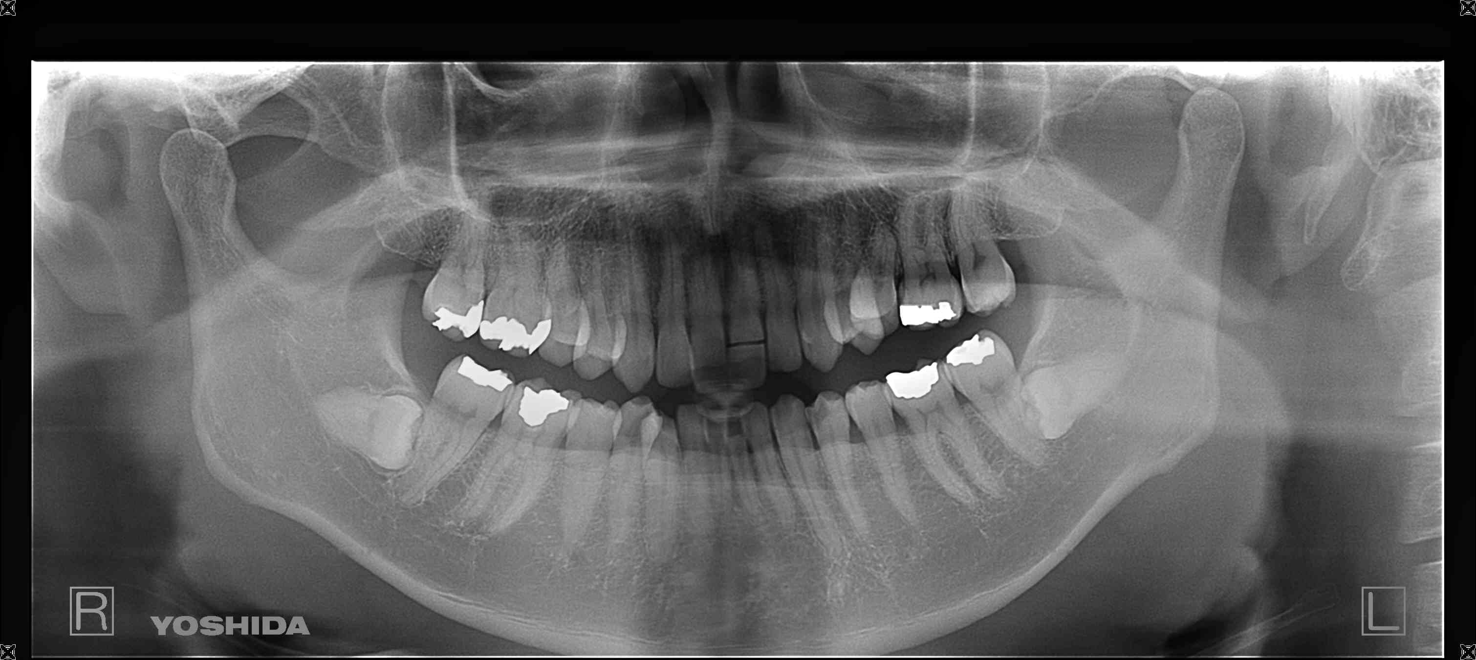
兵庫県三木市にお住まいの30代男性の患者様です。お子さまの頭が偶然口元に当たり、左上前歯の根元まで割れてしまったため、やむを得ず抜歯を行いました。
上記写真は、治療前の状態です。
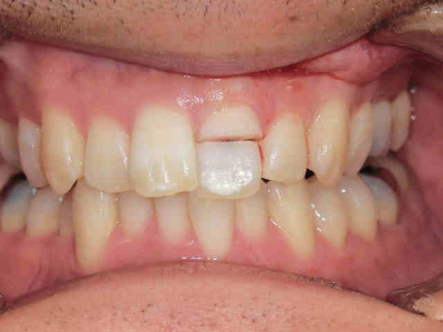
歯を支えていた骨にも骨折が認められたため、骨を補填する処置(GBR=骨誘導再生法)を行ったうえで、インプラントの埋入を行いました。
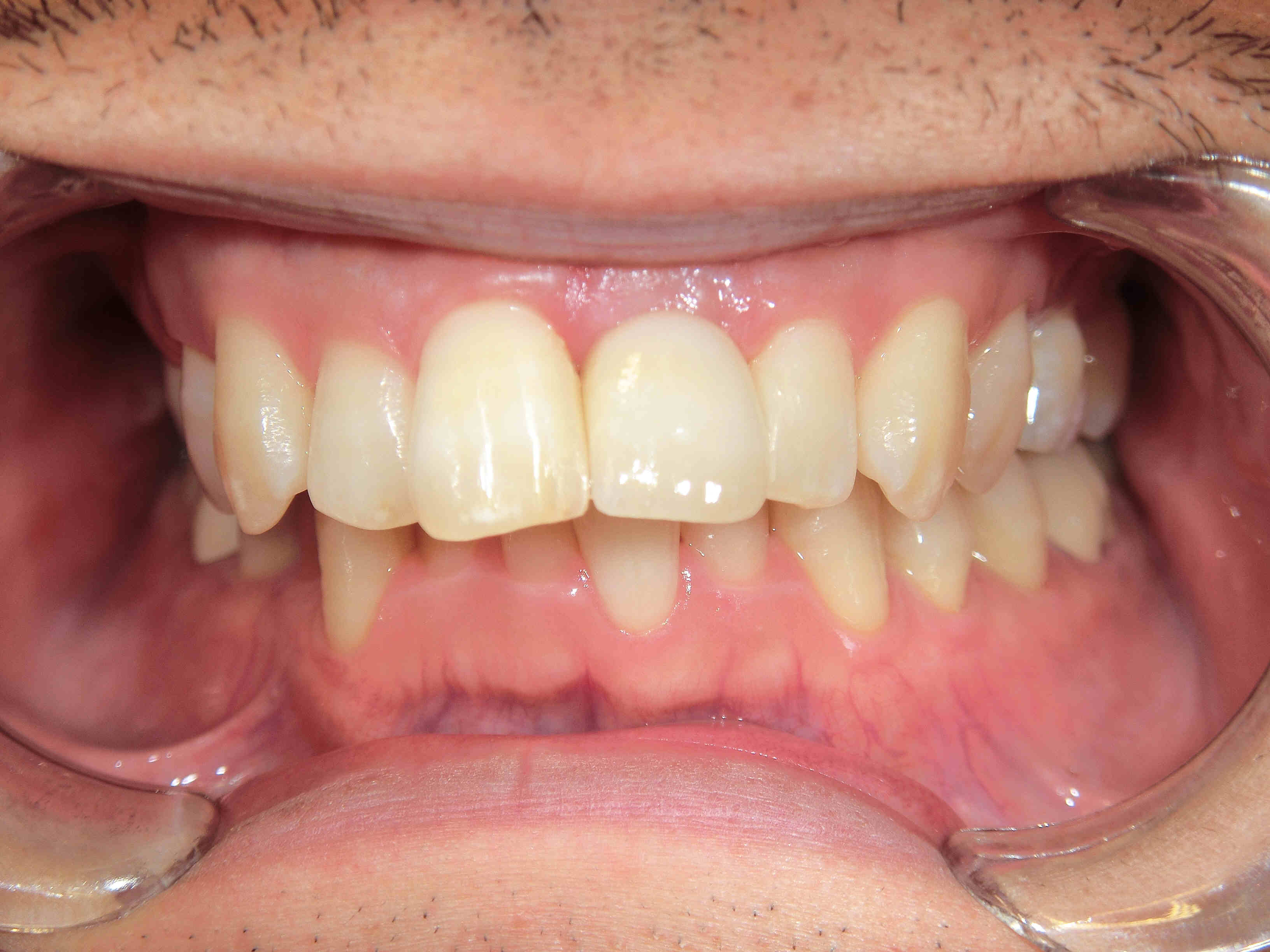
治療後には、見た目や機能面で自然に近い仕上がりを実現できたことから、患者様にもご満足いただけた様子でした。
下の写真は、治療完了後の状態です。

【治療概要】
治療期間:約8か月
治療回数:6回
費用目安:インプラント1本、GBR、外科用ステント、オールセラミック冠を含めて475,200円(税込)
※本治療は自由診療(保険適用外)です。症状や処置内容により費用・回数は異なる場合がございます。詳細はカウンセリングにてご説明いたします。
みらい歯科・矯正歯科クリニックには、三木市をはじめ神戸市西区・北区、明石市、小野市、加東市、加西市など遠方からもご相談を多くいただいております。まずはお気軽にお問い合わせください。