プチ矯正(部分矯正、限局矯正)症例 40代女性
40代女性 プチ矯正(部分矯正) 症例です。
上顎および下顎の前歯のゆがみ【叢生】を主訴に来院されました40代女性の方の症例を紹介させていただきます。
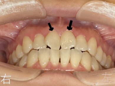
下記写真をご覧ください。
上顎左右前歯部(黒色矢印の歯)のゆがみ【叢生】が確認できます。

上記写真をご覧ください。下顎前歯部(黒色矢印)に歯のゆがみ【叢生】が認められます。
上下左右犬歯の位置および傾きが理想に近く前歯のゆがみ【叢生】の解消のみを希望されましたので、プチ矯正(部分矯正)をおすすめいたしました。

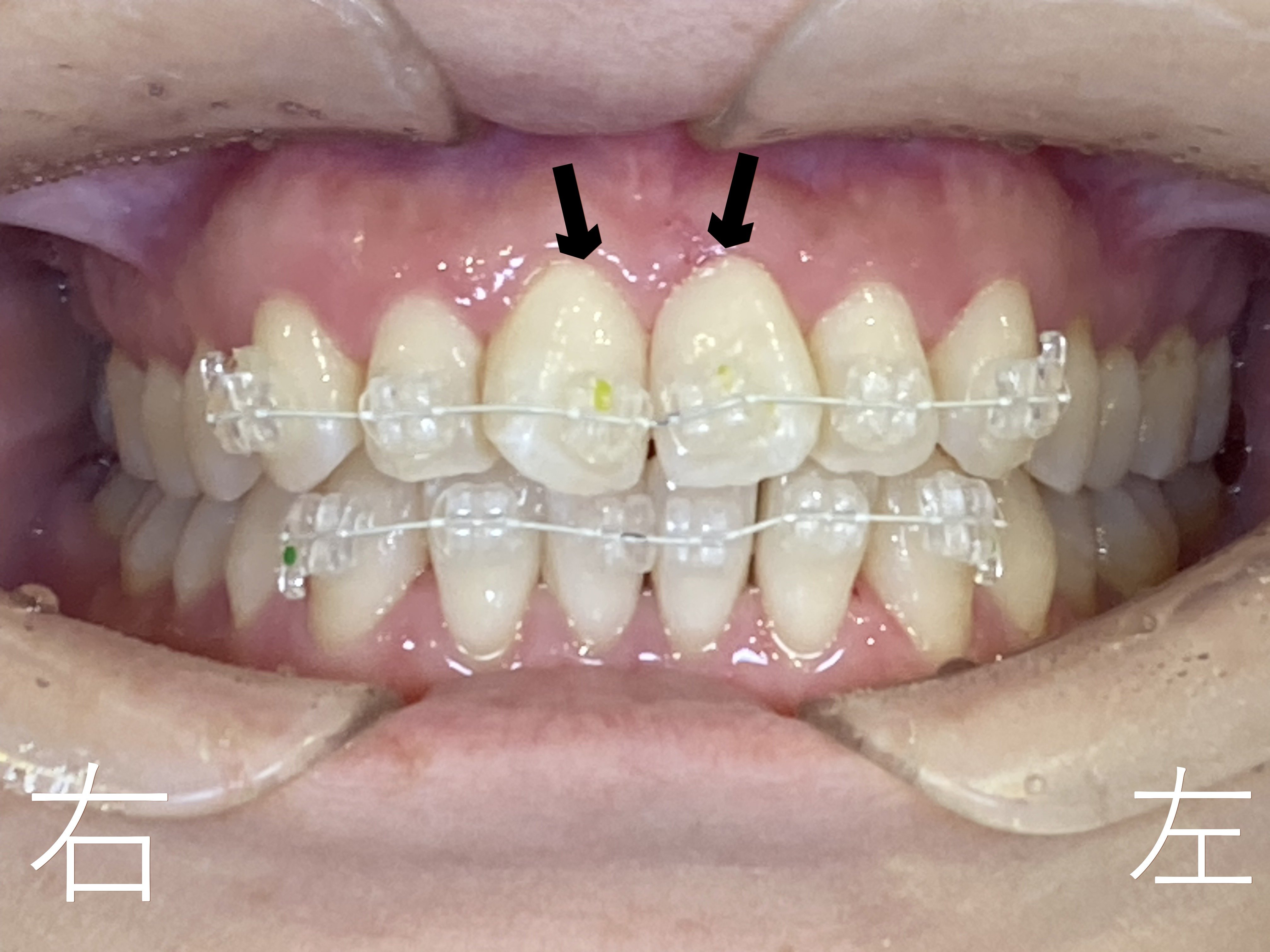
上記は上下ともセラミック製のブラケット(ボタン)を装着した正面観です。

上記は8か月後の正面からみた写真です。上顎中切歯(黒色矢印)をご覧ください。
矯正前にあったゆがみ【叢生】が解消されています。

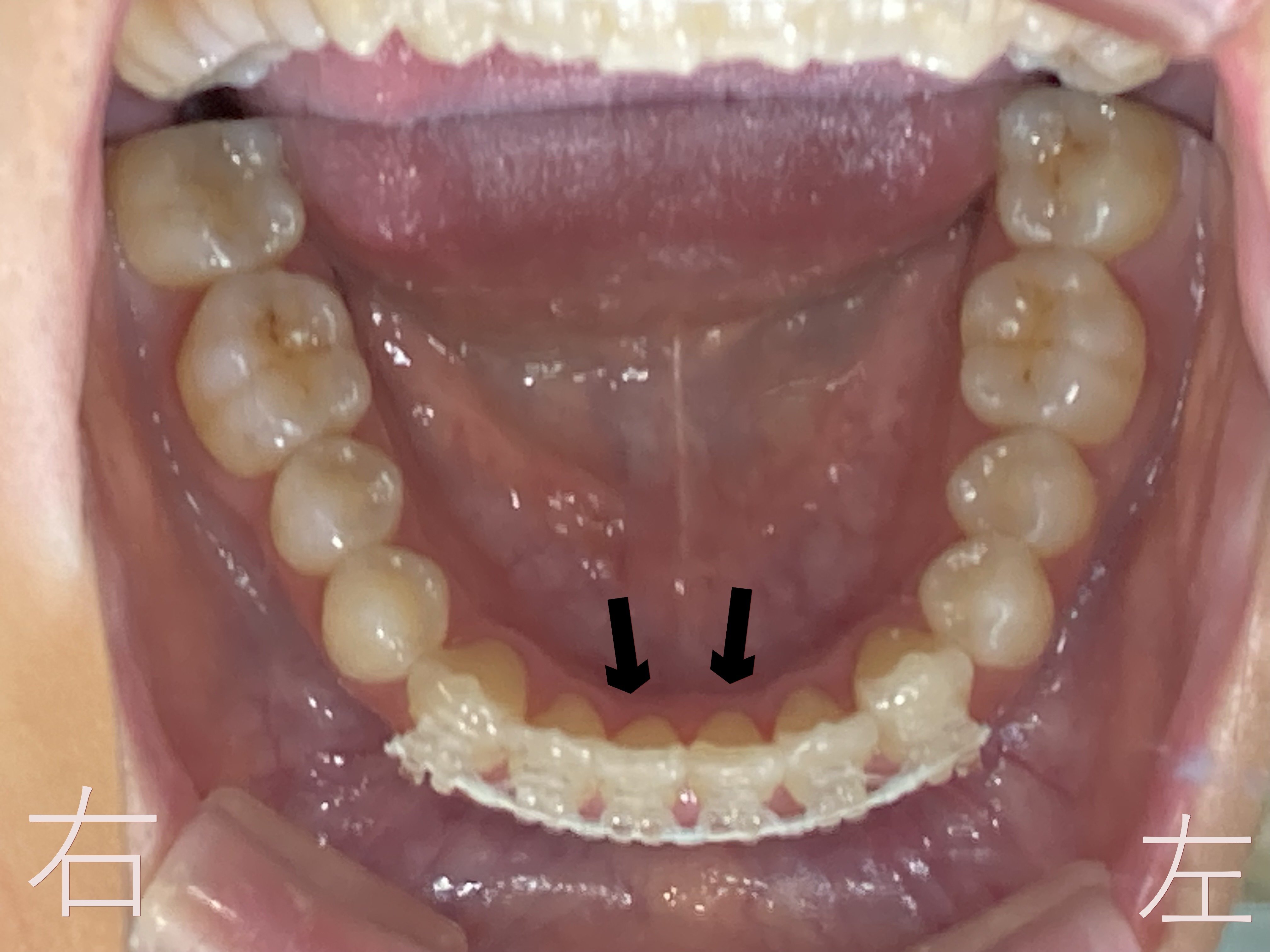
上記は8か月後の下顎の咬合面観です。黒色矢印の下顎前歯(黒色矢印の部分)のゆがみ【叢生】が解消されているのが確認できます。
上記はボタン(マルチブラケット)を外した後の上顎左右中切歯(黒色矢印)の口腔内写真です。上顎左右中切歯のゆがみ【叢生】が解消していることが確認できます。
上記はボタン(マルチブラケット)を外した後の下顎左右前歯部(黒色矢印)の口腔内写真です。
下顎前歯部のゆがみ【叢生】が解消していることが確認できます。
プチ矯正(部分矯正)は前歯(犬歯を除く))のゆがみ【叢生】、前歯のすきっぱ【空隙歯列】を解消するには最も適した手段だと思います。
マウスピース矯正でももちろん治療可能ですが、治療期間がプチ矯正(部分矯正)より長くかかってしまいますし、マウスピース矯正よりも固定式のブラケット矯正(ボタン矯正)の方が治療の完成度は上がることが多いです。
ただしプチ矯正(部分矯正)は万能選手ではありません。
プチ矯正(部分矯正)は両側犬歯を固定元にしてその間にある歯のゆがみ【叢生】やすきっぱ【空隙歯列】を解消する矯正方法であるため、左右犬歯が本来あるべき正しい位置になければプチ矯正(部分矯正)の適応にはなりません。
また犬歯を除く前歯の出っ歯【上顎前突】を解消することは出来ません。
プチ矯正(部分矯正)は適応範囲が狭いですが、その範囲に上手くハマれば完成度が高くなると理解していただけますと幸いです。
当院は三木市のみならず、神戸市西区・神戸市北区・明石市・小野市・加東市・加西市など、遠方からもご来院いただいております。
前歯の歯並びが気になる方は、ぜひお気軽にご相談ください。