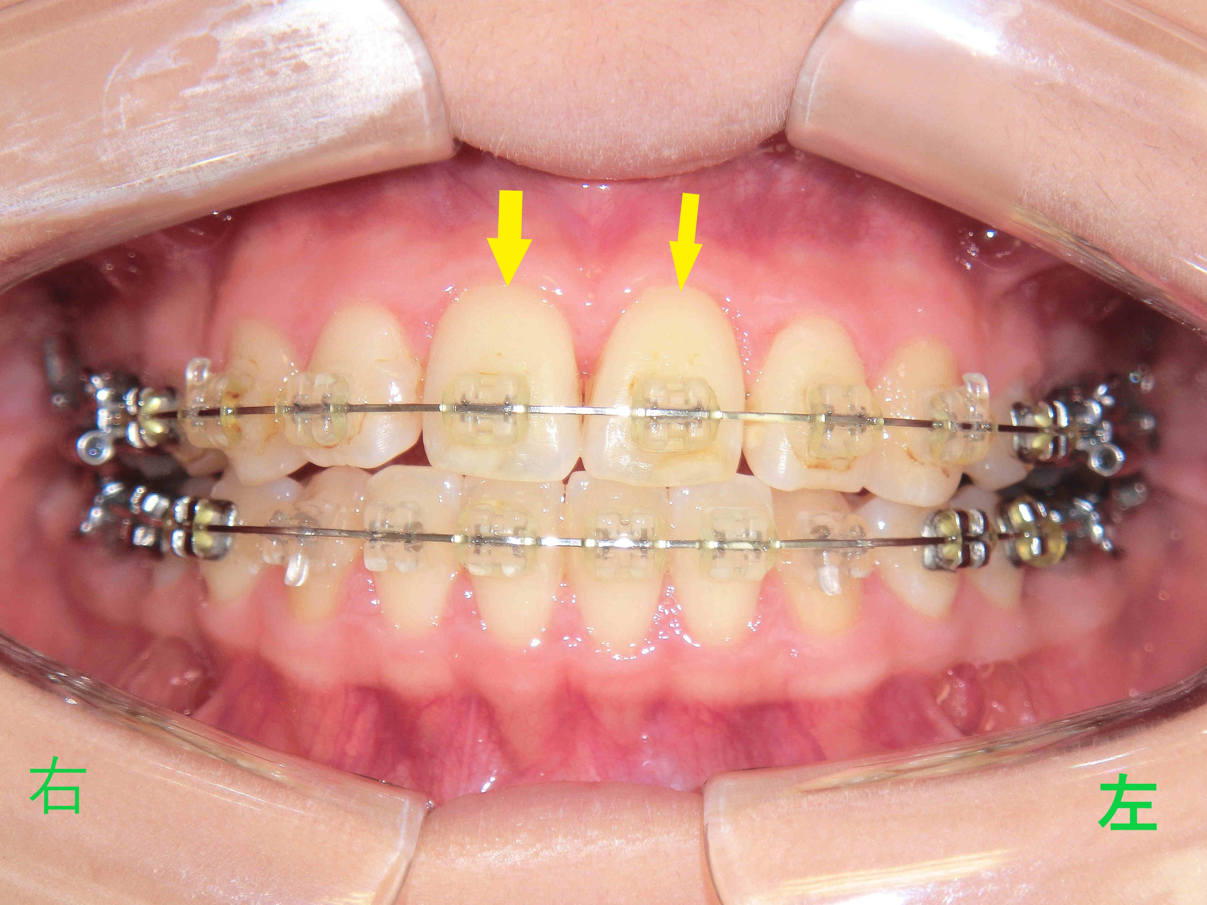
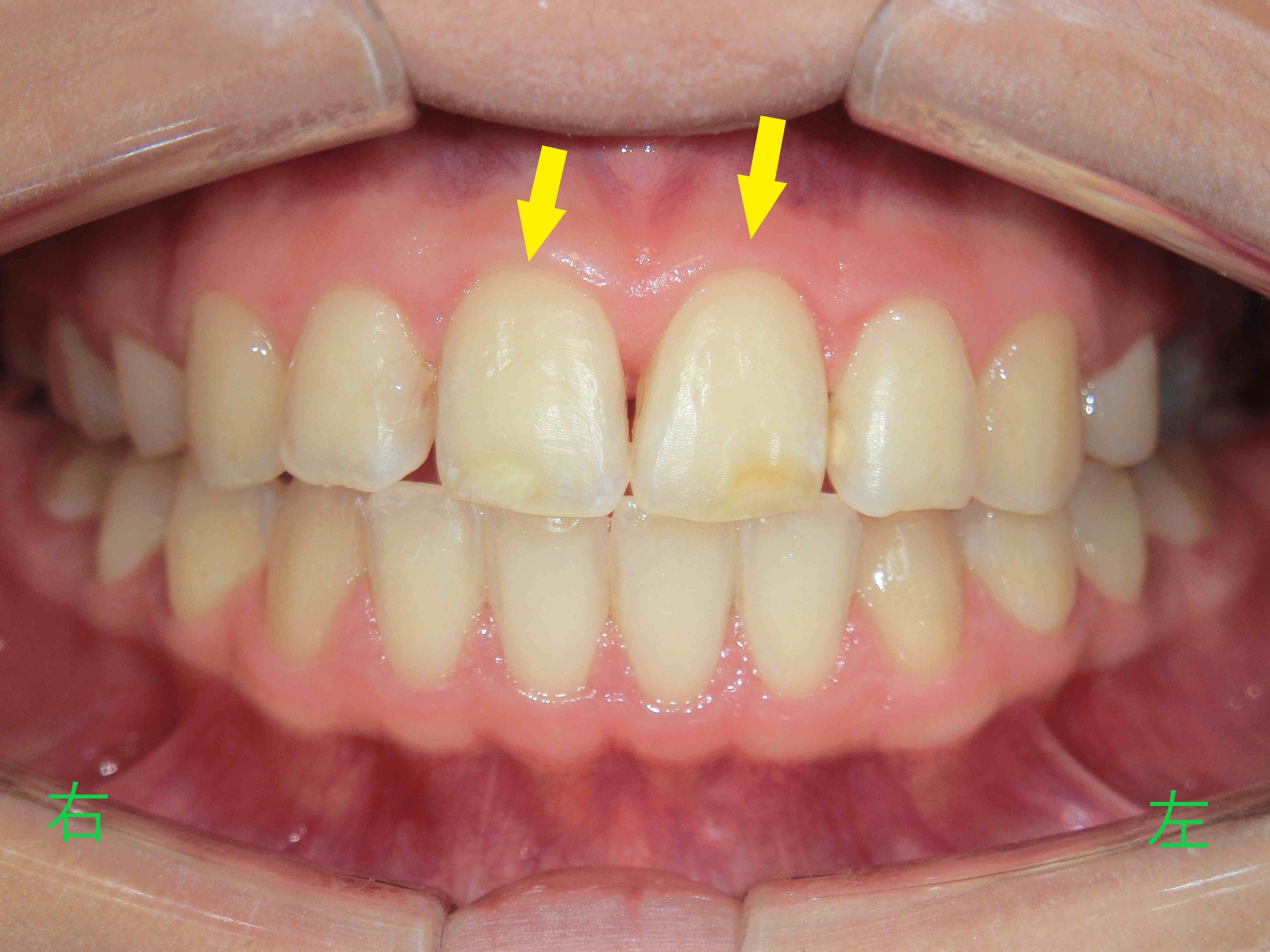
成人矯正症例20代女性 術後

こちらは、矯正治療を開始して22か月後に撮影された口腔内写真です。
治療結果として口元や歯並びを患者様ご自身にご確認いただき、審美性および機能性に問題がないと判断されたため、矯正装置(ブラケットおよびワイヤー)の撤去を行いました。

上顎前歯(黄色矢印)が後方へ移動したことで、初診時に訴えがあった前突感(いわゆる出っ歯)は改善されました。
また、患者様は治療前には力を入れないと口を閉じることが難しかった状態から、現在では自然に口を閉じられるようになり、結果に満足されているご様子でした(※個人の感想です)。
なお、矯正専門の歯科医院で治療中に虫歯や歯周病が発生した場合、一般歯科を別途受診する必要があるケースがあります。また、非常勤の矯正医が施術する医院では、装置のトラブルが発生した際にすぐに対応できない可能性もあります。
当院では、虫歯治療・歯周病治療・抜歯処置・矯正治療をすべて院内のチームで一貫して対応しており、そうしたご不安なく治療を継続していただけます。

治療前と治療後の口腔内写真を比較すると、上顎前歯が後方へ移動し、下顎前歯との接触が確認できます。また、治療前はV字型であった歯列が、治療後はU字型に改善されています。
当院の矯正治療は、歯列を左右に拡大しながら前歯を後方に移動させる方法を採用しており、口腔内容積の減少を抑えるよう配慮しています。このような配列は、舌の位置や気道への影響、歯ぎしり・食いしばりの軽減にも寄与すると考えられています。
さらに、歯列拡大は審美的観点からも重要です。前歯が後方へ下がりすぎると、唇の支えが減少し、老けた印象を与える場合があります。当院では、機能性と審美性を両立した治療を心がけております。
歯並びや噛み合わせが乱れていると、以下のような問題が生じることがあります:
1. 歯磨きがしづらく、虫歯・歯周病のリスクが高まる
2. 食べ物を十分に咀嚼できず、胃腸に負担をかける
3. 顎関節への負担から、耳鳴り・頭痛・肩こりの原因になる
4. 対人関係におけるコンプレックスを感じやすくなる
矯正治療は、単に歯並びを整えるだけでなく、顎関節の位置の安定や筋肉・骨格バランスの改善、心理的影響の軽減にもつながります。
今回の症例では、矯正治療により口元の印象も大きく変化し、自然に口を閉じることが可能となりました。
なお、本症例では抜歯を伴う治療を行いましたが、当院ではまず非抜歯での治療計画を検討し、必要な場合のみ抜歯を選択しております。
治療前の状態をご覧になりたい方は、以下をご参照ください:
[https://www.miraidc.com/blog/post-132/](https://www.miraidc.com/blog/post-132/)
【治療情報】
* 治療期間:22か月
* 通院回数:22回
* 費用:基本治療費60万円 + 調整料5,000円×22回(税抜)
みらい歯科・矯正歯科クリニックでは、三木市のほか神戸市西区・北区・明石市・小野市・加東市・加西市などからも多数ご来院いただいております。お気軽にご相談ください。