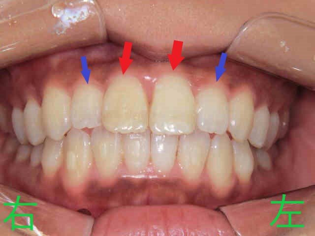
マウスピース矯正(スマイルトゥルー)症例 20代女性<当院勤務の歯科衛生士>術前

上記写真をご覧ください。
こちらは、みらい歯科・矯正歯科クリニックに勤務する歯科衛生士の口腔内写真で、マウスピース矯正(スマイルトゥルー)による治療前の様子を記録したものです。

患者本人は、以前より上顎左右中切歯(赤色矢印)の前突感(いわゆる出っ歯)と、上顎左右側切歯(青色矢印)の逆被蓋(下顎前歯より内側に位置している状態)を気にされていました。
写真は前歯の噛み合わせを下から見上げたもので、上顎左右中切歯が前方に出ており、左右側切歯が内側に位置していることが確認できます。
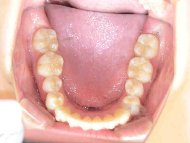
左上の写真は上顎を下から、右上の写真は下顎を上から撮影したものです。右上の黒色矢印部分では、下顎前歯がやや前方へ傾斜している様子が見受けられます。
診断の結果、上下顎ともに矯正が必要との判断となりました。これは、上顎前歯の裏側で下顎前歯が接触している状態では、上顎前歯を後退させるためには、下顎前歯も後方に移動させる必要があるためです。

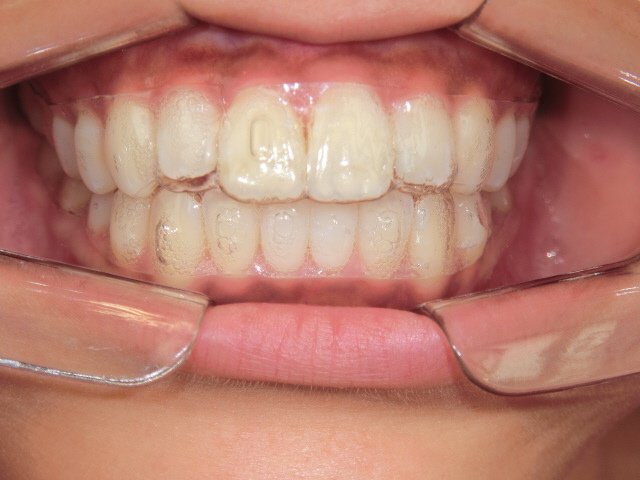
左上は、スマイルトゥルー(アライナー矯正装置)を装着した状態です。従来のワイヤー矯正と比較して目立ちにくいのが特徴です。右上の写真は装置そのもので、透明性が高く、会話距離ではほとんど気づかれないと考えられます。

左の写真は、矯正治療開始から3か月後の上顎の様子です。上顎左右中切歯の前突感が緩和され、左右側切歯が内側から外側へと移動しつつあることが確認できます。

右の写真は上下の噛み合わせを下から見上げたもので、下顎前歯が内側に移動し、それに伴い上顎中切歯も内側に移動。前突感の軽減が明瞭です。側切歯の外側移動も進行中ですが、改善の余地が残ります。
矯正中の痛みについては、患者本人より「最初の装置装着時にやや鈍い痛みがあったが、鎮痛薬が不要な程度で、それ以降は痛みはなかった」との報告がありました(※個人の感想です)。
スマイルトゥルーは、目立ちにくく1年程度の治療期間で終了することが多いため、軽度~中等度の歯列不正に適しています。また取り外し可能なため、歯磨きや口腔衛生の面でも有利です。ただし、常時装着が必要であり、全ての症例に対応できるわけではありません。
この治療法は、1年以内に終了が見込めるケースに適しており、より重度な症例には従来型のブラケット矯正が推奨される場合もあります。いずれの場合も抜歯を避ける方針で治療計画を立案しています。

治療経過の写真(3か月後)では、上顎と下顎の歯列が適切な位置に配列されつつある様子が見られます。下顎前歯が後方に移動した分、上顎前歯の前突も解消されつつある状態です。
次回は、矯正治療終了後(5か月後)の様子をご紹介いたします。
当院には、三木市のほか、神戸市西区・北区、明石市、小野市、加東市、加西市などからもご来院いただいております。矯正治療に関するご相談は、お気軽にどうぞ。