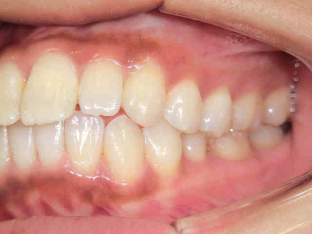
マウスピース矯正(スマイルトゥルー)症例 20代女性<当院勤務の歯科衛生士>術後

こちらはスマイルトゥルー(アライナー矯正)による治療を開始してから5か月後の口腔内写真です。
上顎左右の中切歯(赤色矢印)に見られた前突感(いわゆる出っ歯)が軽減し、左右側切歯(青色矢印)の逆被蓋(下顎前歯よりも内側に位置していた状態)も改善されています。
この症例は、当院勤務の歯科衛生士(20代女性)がスマイルトゥルーを用いて矯正治療を受けたものです。
治療開始から5か月で、上下顎前歯が接触し、理想的な噛み合わせに近い状態が得られました。
矯正治療後、ご本人は見た目の変化に満足している様子でした(※個人の感想です)。
なお、治療に関する詳細や使用感などについてご興味のある方は、当院スタッフまでお気軽にご相談ください。

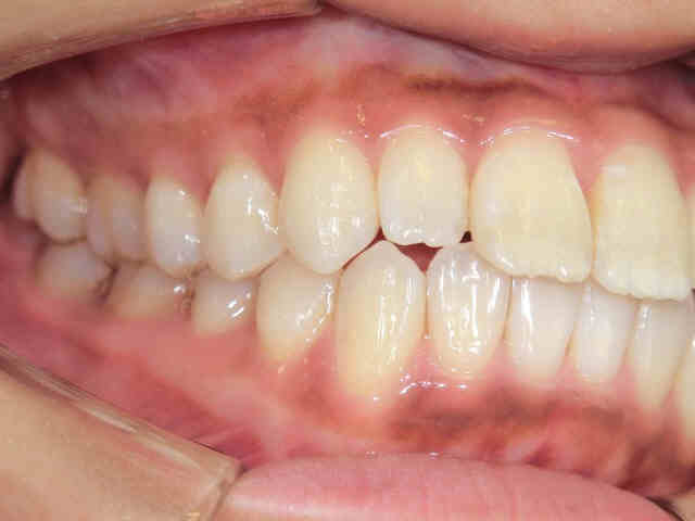
口腔内写真では、術前はV字型だった上顎歯列が、術後にはU字型に改善されている様子が確認できます。
また、下顎前歯(黒色矢印)が内側に移動したことも明瞭に見て取れます。

左右から見た噛み合わせの状態では、緊密な咬合が観察されます。
当院では、軽度~中等度の歯列不正や噛み合わせの場合、部分矯正(プチ矯正)やスマイルトゥルー(アライナー矯正)によって、比較的短期間での治療が可能となるケースもあります。
治療費用についても、全顎矯正より抑えられる可能性があります(※症例により異なります)。
・歯並びや噛み合わせの問題は、見た目だけでなく、以下のように口腔や全身の健康にも影響を及ぼすことがあります:
・磨きにくく、虫歯になりやすい
・食べかすが溜まりやすく歯周病の原因に
・軟らかい食事を好むことで咀嚼機能が低下
・顎関節に負担がかかり顎関節症のリスク
・咀嚼不良により顎の成長不全を招く
・消化器への負担から胃腸障害につながる
・舌や唇の運動制限による発音障害
・咀嚼筋の不均衡による姿勢の乱れ
・噛み合わせの不安定さによる集中力の低下
・口元や顔貌のコンプレックスが対人関係に影響
このように、歯列や咬合の問題は審美性のみならず、健康全般に関わる重要な要素です。
当院では、可能な限り抜歯を避け、患者様のご希望に沿った治療計画をご提案しています。
症例によっては、ブラケットとワイヤーを用いた全顎矯正が必要となる場合もございますが、その際も慎重に診査・診断の上、最適な方法をご案内いたします。
治療前の口腔内の様子は、下記のリンクからご覧いただけます:
https://www.miraidc.com/blog/post-135/
みらい歯科・矯正歯科クリニックには、三木市をはじめ、神戸市西区・神戸市北区・明石市・小野市・加東市・加西市など、広域からご来院いただいております。お気軽にご相談ください。