小児矯正症例 10歳6か月女性③

10歳6か月から開始した小児矯正治療(マイオブレイス等の取り外し式矯正装置を使用)に関する症例をご紹介いたします。
※すべての写真は、患者様およびご家族の同意を得たうえで掲載しております。
【治療経過と評価】
治療開始から12か月後(11歳6か月時)には、上下歯列の拡大が進行し、下顎の前下方への成長が確認されました。これにより、上顎前歯で隠れる下顎前歯の範囲が減少し、浅い噛み合わせが形成されつつあります。
しかし、当時はまだ混合歯列期であり、左右の上顎犬歯が正常な位置に萌出するかどうかが治療の鍵でした。

さらに6か月後(12歳時)には、第一大臼歯までの永久歯がすべて萌出し、左右の上顎犬歯も正常に並んだことを確認できたため、一次治療は終了としました。
なお、第二大臼歯の萌出まで引き続き装置の使用をお願いしています。

【治療前後の比較】
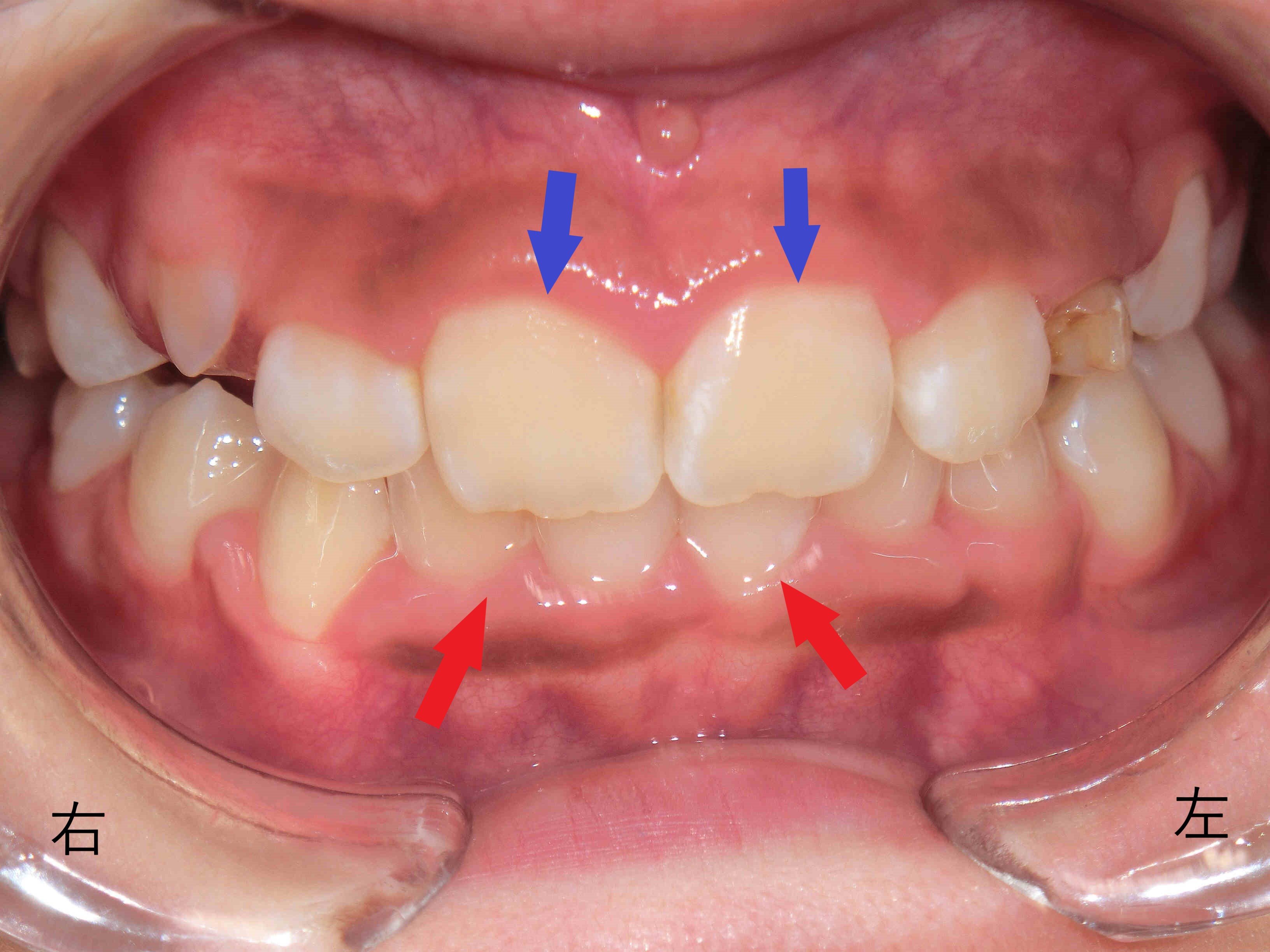
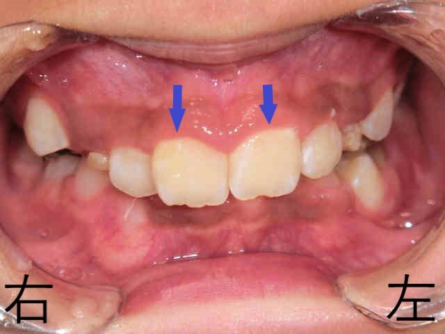
・ 11歳6か月時:上顎の拡大が進んでいたものの、左上乳犬歯が残存しており、犬歯の萌出スペースが不足 
・ 12歳時:上顎の拡大がさらに進行し、左上犬歯が正常な位置に萌出し、歯列に収まりました

このような結果が得られたのは、装置の使用継続と骨格成長を促す適切なタイミングでの治療開始が要因と考えられます。
【治療開始時期の重要性】
小児矯正においては、犬歯の萌出スペースを確保するため、8歳前後での治療開始が理想とされます。
適齢期を過ぎると、拡大が間に合わずに犬歯の萌出が困難となり、八重歯化するリスクが高まります。その結果、固定式の装置や本格的な矯正治療が必要になる可能性が生じます。
今回の症例では10歳6か月からの治療開始でしたが、複数の取り外し式装置のみで対応できました。とはいえ、より早期の治療開始が望ましい点に変わりはありません。
【下顎歯列の変化】
・ 治療前:下顎前歯に叢生(歯の重なり)あり
・ 治療後(12歳時):歯列が整い、叢生が解消
【矯正治療を行わなかった場合の懸念点】
治療を行わなかった場合、以下のようなリスクが考えられます:
1. 歯の重なりにより清掃が難しく、虫歯・歯周病のリスクが上昇
2. 顎関節への負担により顎関節症を発症する可能性
3. 咀嚼効率の低下に伴う消化器系への影響
4. 筋機能バランスの乱れによる姿勢不良
5. 噛み合わせ不安定に起因する集中力低下
6. 顔貌へのコンプレックスから非社交的傾向に
7. 舌の後方位置・口呼吸・口腔狭小による睡眠障害(SAS等)
【小児矯正の総合的効果】
矯正治療は見た目の改善だけでなく、以下のような全身的・心理的改善にも寄与する可能性があります:
・ 姿勢の改善
・ 嚥下機能の正常化
・ 舌や口輪筋の発達
・ 口呼吸の改善
・ 表情の変化や自信の向上(※効果には個人差があります)
【ご家族の感想(抜粋)】
・ 「目が大きくなった気がする」
・ 「表情が豊かになった」
・ 「自信がある顔立ちになった」
【治療終了時の咬合状態】
12歳時点で、右左ともに上下臼歯の噛み合わせが安定し、良好な咬合が確認されました。
【後戻りのリスクについて】
小児期に矯正治療を行うことで、機能的に獲得された歯列は安定しやすく、後戻りのリスクが低くなるとされています。
今回ご紹介した患者様の治療開始前の状態をご覧になりたい方は、下記リンクをご参照ください:
[https://www.miraidc.com/blog/post-140/](https://www.miraidc.com/blog/post-140/)
みらい歯科・矯正歯科クリニックには、三木市をはじめ、神戸市西区・北区・明石市・小野市・加東市・加西市など、遠方からも多数の患者様にご来院いただいております。お気軽にご相談ください。