小児矯正症例 10歳6か月女性 ②
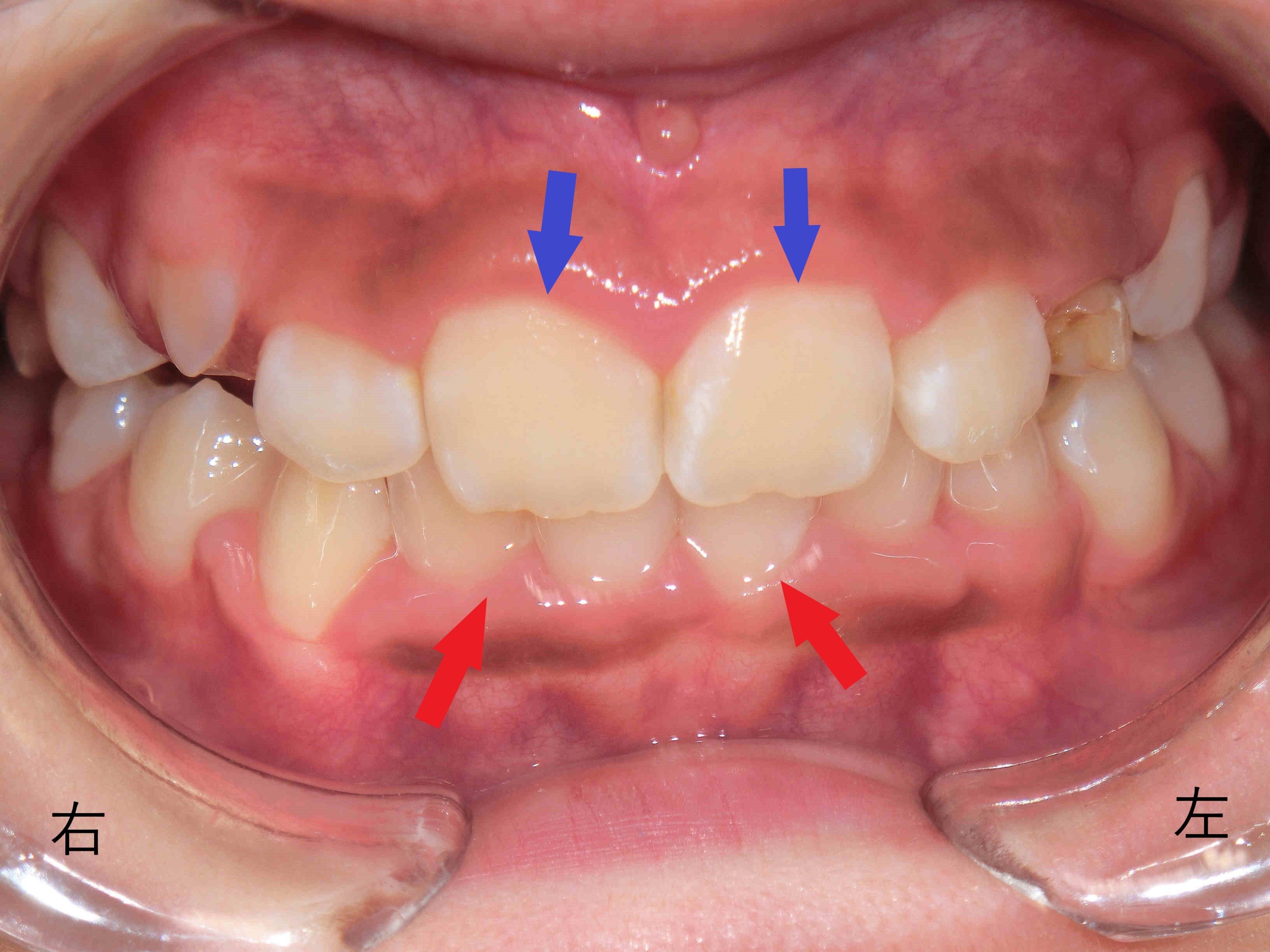
こちらは、マイオブレイスなどの取り外し式矯正装置を用いた小児矯正治療の症例です。治療開始から6か月後の前歯の噛み合わせを撮影した写真をご覧ください。

赤色矢印で示した下顎前歯が、上顎前歯(青色矢印)に隠れていた状態から、下顎の前方成長により前方から見えるようになってきています。

【治療効果の比較】
矯正治療前と比較すると、わずか半年で上顎前歯の前突(いわゆる「出っ歯」)が大きく改善され、自然に口を閉じられるようになってきました。

【歯列の変化】
上顎の歯列は、V字型からU字型へと広がり、歯列の拡大が順調に進んでいます。下顎も同様に、叢生(凸凹の歯並び)が改善しつつあります。
このような変化は成長による自然な変化では説明できず、矯正装置による効果と考えられます。
【 噛み合わせの改善】
噛み合わせが深かった状態から、下顎が前下方に成長することで浅くなり、より自然な咬合に近づいています。
【口呼吸と歯並びの関係】
最近の子どもに多く見られる歯並びの問題の背景には、口呼吸の習慣があると考えられます。口呼吸が続く限り、矯正治療が成功しても“後戻り”のリスクが高まります。
鼻づまりなどの症状がある場合は耳鼻咽喉科の受診を、習慣的な口呼吸の方は鼻呼吸を意識的に練習することが重要です。
“口呼吸は万病の元”とも言われ、歯周病・虫歯の予防、そして全身の健康にも深く関わります。
▼ 次回予告
次回は、さらに6か月後の経過および治療終了時の口腔内の様子をご紹介いたします。
・矯正治療終了後の写真はこちら:
https://www.miraidc.com/blog/post-142/
・治療開始前の状態はこちら:
https://www.miraidc.com/blog/post-140/
みらい歯科・矯正歯科クリニックには、三木市のほか、神戸市西区・北区、明石市、小野市、加東市、加西市などからも多くの方にご来院いただいております。どうぞお気軽にご相談ください。