小児矯正症例 10歳6か月女性

上記写真をご覧ください。
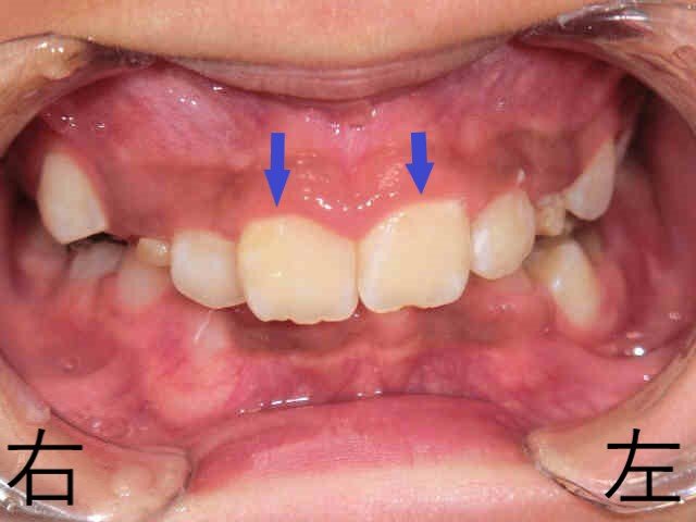
こちらは小児矯正治療を開始する前、10歳6か月の女児の噛み合わせを撮影したものです。
上の前歯に隠れてしまい、下の前歯がほとんど見えない状態でした。
噛み合わせが深い“ディープバイト”という状態で、最近の子どもさんに多く見られる噛み合わせの一つです。
なお、写真の公開にあたっては、患者様およびご家族の同意をいただいております。
保護者の方が気づかれるきっかけとしては、
笑ったときに上の前歯しか見えない
唇に力を入れないと口を閉じにくい
いつも口が開いている
上の前歯が生えてきたら「出っ歯」に見える
といったことが挙げられます。
このようなきっかけから、お子様を連れて来院されるケースがよく見受けられます。
この患者様も、笑った時に上の前歯しか見えず、唇に力を入れないと口を閉じにくい状態でした。

掲載の写真は、前歯の噛み合わせを下から見上げた状態を撮影したものです。
前歯の噛み合わせが深く(ディープバイト)、下からのぞいても下顎前歯の全体を確認できない状態でした。
上の前歯が目立つため「出っ歯」と表現されることが多いようですが、実際には下顎が後方に位置しているため、相対的に上顎が前に出ているように見えるケースもあります(下顎の劣成長)。
現代では、硬い食べ物や歯ごたえのある食品を摂る機会が減り、顎の成長が十分でない傾向があるとされています。
そのため、真に上顎が過成長しているケースは比較的少ないと考えられます。

左上の写真は、治療開始前の上顎を下から撮影したもので、歯列が左右に狭くV字型になっていることがわかります。
右上は下顎を上から見た写真で、上顎の狭窄により、下顎の奥歯が内側に倒れ、前歯部には叢生(歯の重なり)が見られます。

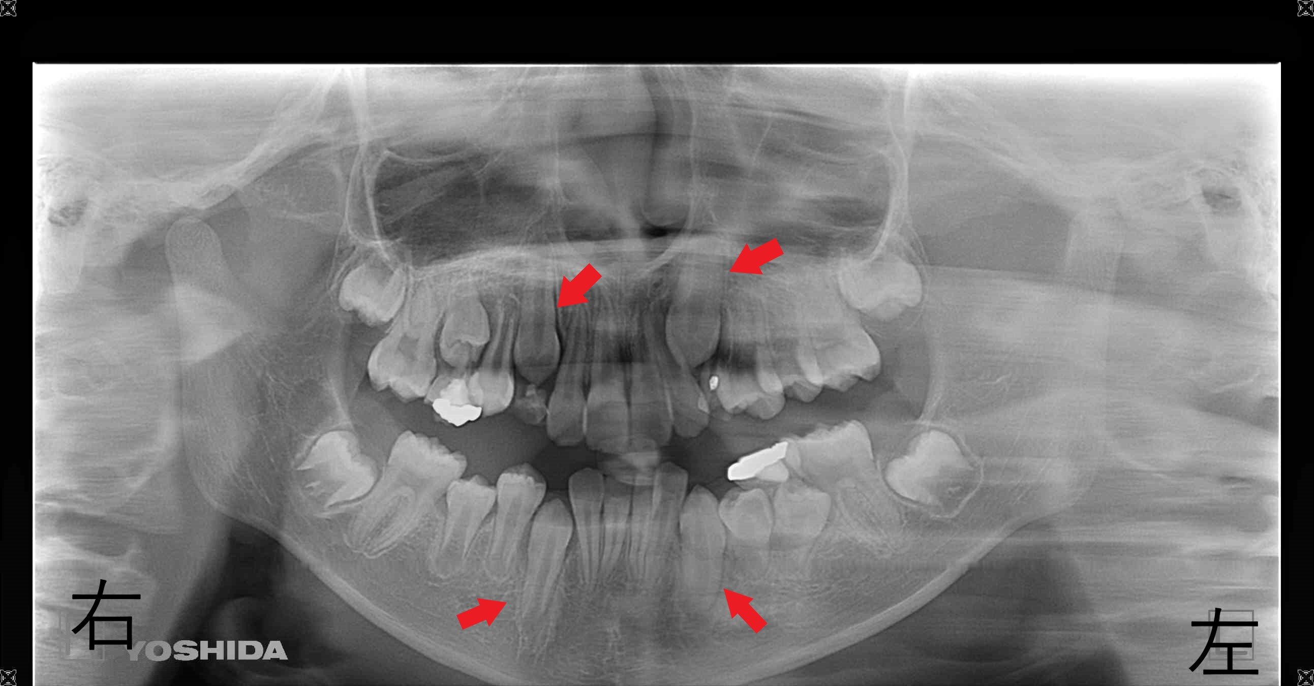
また、掲載のレントゲンでは、上下左右の犬歯の位置が確認できます。
下顎の犬歯はすでに萌出しており、上顎もまもなく萌出する状態でした。
当院では、小学校2年生頃(8歳前後)からの小児矯正治療をおすすめしています。
この時期は、前歯4本が永久歯に生え変わり、犬歯の萌出までの期間に前歯の歯並び・噛み合わせを整えることができるため、その後のトラブルが起こりにくくなると考えられます。
この患者様は10歳6か月での治療開始となり、最適とされる時期より約2年後でした。
そのため、将来的にブラケットとワイヤーによる本格的な矯正治療が必要となる可能性もあることをご家族にご説明し、取り外し式装置(マイオブレイス)による治療を開始しました。
小児矯正治療から6か月後の口腔内の状態をご覧になりたい方は、以下をご覧ください。
https://www.miraidc.com/blog/post-141/
当院(みらい歯科・矯正歯科クリニック)では、三木市をはじめ、神戸市西区・神戸市北区・明石市・小野市・加東市・加西市などからもご来院いただいております。
お気軽にご相談ください。