インプラント症例 70代男性
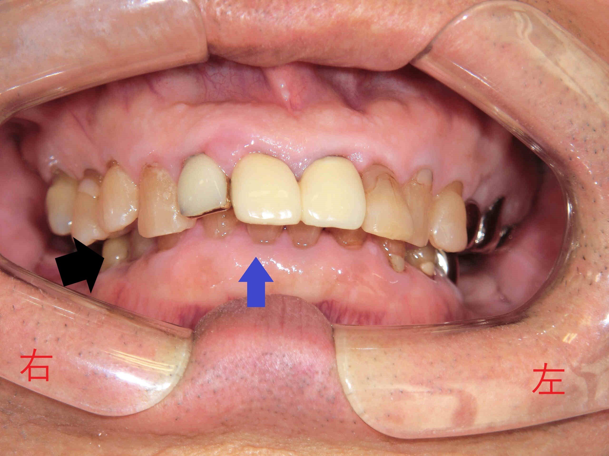
兵庫県三木市にお住まいの70代男性の患者様が、右下の被せ(黒色矢印)がグラグラして噛めないというお悩みで、〈みらい歯科クリニック〉に来院されました。なお、写真の掲載につきましては患者様の同意をいただいております。

また、患者様は“上顎前歯の出っ歯”を非常に気にしておられたため、丁寧にご説明したうえで、全顎的な治療計画を立案し、ご納得のうえで治療を開始させていただきました。写真で特に注目していただきたいのが、下顎前歯(青色矢印)です。
奥歯で噛んだ際に、下顎前歯が上顎前歯に隠れてほとんど見えなくなっている“深い噛み合わせ”の状態が確認できます。
患者様ご自身は歯並びを“出っ歯”だと表現されていましたが、実際には「下顎の位置が基準より後ろに下がっているため、結果的に上顎が前に出ているように見えているだけ」でした。
話が少し脱線しますが、このような噛み合わせは現代人、とくに若い世代に頻繁に見られる傾向があります。原因としては、歯ごたえのない食事、舌の位置(舌低位)、口呼吸などが考えられます。
このような噛み合わせの方は、噛む力(咬合力)が非常に強く、歯ぎしりや食いしばりが顕著であるため、歯が極度にすり減り、咬合高径(噛み合わせの高さ)が低くなっているのが特徴です。その結果、上顎前歯が前に押し出され、“出っ歯”の印象が強まってしまいます。
【インプラント症例 70代男性】
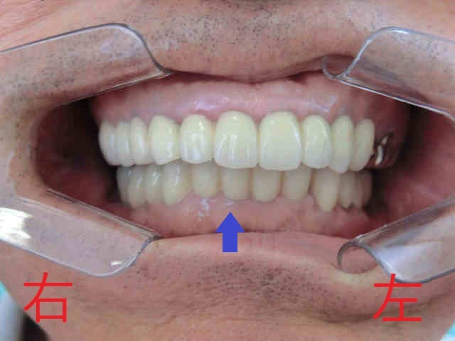
上記はインプラント治療を含めたすべての治療が終了した写真です。ここでも、青色矢印の下顎前歯の部分にご注目ください。冒頭の写真と比較すると、奥歯で噛んだ際に上顎前歯によって隠れていた下顎前歯の部分が少なくなっていることがお分かりいただけると思います。
歯ぎしりや食いしばりによってすり減った歯を被せ(冠)にすることで、咬合高径を引き上げ、“出っ歯”のように見えていた上顎前歯を内側へ移動させることができました。
「噛み合わせを高くすると、口を閉じにくくなるのでは?」とご懸念の方もいらっしゃるかもしれません。そこで、被せる前に仮歯を装着し、噛み合わせを綿密にチェックしております。実際、この患者様は通常通りに口を閉じることができ、口元の“出っ歯感”も解消され、自然な口元になりました。
つまり、この噛み合わせの高さこそが、患者様本来の高さだったということになります。
【インプラント症例 70代男性】

左上は治療前(初診時)に近い状態の上顎を下から見上げた写真、右上は同じ状態の下顎を上から見た写真です。いずれも青色矢印の歯をご覧ください。歯ぎしりや食いしばりのために歯がすり減り、歯の表面が陥没している様子が観察されます。
【インプラント症例 70代男性】

左上の写真は治療終了後の上顎を下から見たもので、右上は治療終了後の下顎を上から見たものです。今回の治療で咬合高径を高くした目的は、患者様の主訴である“上顎前歯の出っ歯”を解消するためだけではありません。低い咬合高径のままでは、インプラントに被せ(冠)を装着すること自体が難しかったからです。
なお、下顎の写真で黄色矢印の歯がインプラントの被せ(冠)です。埋入したインプラントは2本ですが、長期にわたって良好な口腔環境を維持するために非常に重要な2本となります。
もし患者様がインプラントをご希望されなかった場合、左右とも部分入れ歯を装着していただくことになったでしょう。入れ歯は、天然歯やインプラントによる人工歯と比べて咀嚼能力が低くなるという報告があります。また、入れ歯を支えるために前方の歯にバネ(クラスプ)がかかるため、ご自身の歯に大きな負担をかけてしまった可能性があります。結果として、インプラントを選択された場合と比べて長期予後が悪くなる可能性が高かったと考えられます。
なお、治療期間は1年・治療回数は24回、保険外治療費は、インプラント2本、インプラントのセラミック冠2か所、天然歯へのセラミック冠8本を含めて、1,101,600円(税込)でした。
【インプラント症例 70代男性】

左側が初診時の治療前のレントゲン写真です。右下のブリッジという被せ(冠)がグラグラして噛めないと訴えられていた部位の黒色矢印をご覧ください。被せの下に黒い透過像が確認されており、これは歯髄(神経と血管)まで進行した大きな虫歯である可能性があります。麻酔後ブリッジを外したところ、後ろの歯根が完全に割れておりました(泣)…。
長期間、左下奥歯を欠損状態で過ごされていたため、右側の奥歯に大きな負担がかかっていたようです。歯髄の治療が必要でしたが、前方の歯(黒色矢印)は救うことができたのは幸いでした。
インプラント症例 70代男性
右側は治療終了後のレントゲン写真です。黄色矢印の歯が、インプラントを埋入した部位です。
大掛かりな治療となったため、治療期間は1年を要しました。しかし、治療終了がゴールではなく、スタートラインとお考えください。虫歯や歯周病は症状なく進行することもありますので、少なくとも3か月に1回の定期健診が重要です。
年4回の受診でも、ご自宅での口腔ケア(セルフケア)だけでは磨き残しが蓄積するため、歯科受診によるプロフェッショナルケアを欠かすことはできません。つまり、お口の健康を守るためには「予防歯科」の考え方が非常に重要なのです。
歯科は「痛くなってから来院するところ」ではなく「痛くなる前に来院するところ」です。
〈みらい歯科・矯正歯科クリニック〉には三木市だけでなく、神戸市西区・神戸市北区・明石市・小野市・加東市・加西市など、遠方からも患者様にお越しいただいております。お気軽にご相談ください。
このブログをご覧の皆様の意識改革につながれば幸いです。