インプラント症例 30代男性 術前
以下は兵庫県三木市にお住まいの30代男性患者様が初診時に来院された際の記録です。写真の掲載には、患者様より書面にて同意をいただいております。
主訴は「痛みはないが、治療が必要な箇所が多いため、とにかく歯を入れてほしい」とのことでした。
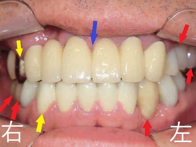
口腔内初診時の状況
《上顎の状態》
前歯には歯冠修復物(いわゆる差し歯)が装着されていたものの、多くの歯に重度の虫歯が確認され、一部の歯は残根状態(歯根のみが残った状態)でした。
赤色矢印の部位は残念ながら抜歯せざるを得なかったところにインプラントを埋入した歯です。

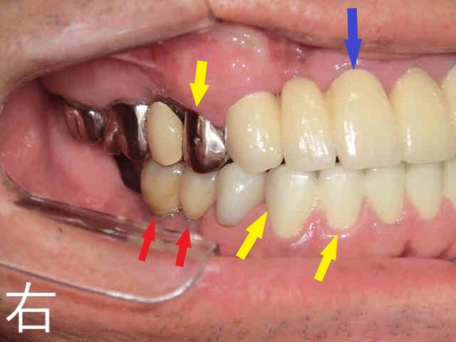
《下顎の状態》
同様に残根歯が複数確認され、保存が困難な部位が散見されました(黄色矢印部位)。
《咬合状態の問題》
正面からの口腔写真では、上顎前歯が下顎前歯よりも内側に位置しており、反対咬合(いわゆる「受け口」)の状態が見られました。このような咬合の崩壊は、元々の骨格的要因か、もしくは後天的な歯列変化によるものか、診断を慎重に行う必要がある難症例です。

《奥歯の咬合状態》
左右の奥歯についても、上下で残根状態の歯が咬合しており、このままでは補綴物(被せ物や入れ歯)を入れることが困難な状況でした。

《レントゲン所見》
パノラマレントゲン画像では、虫歯による重度の歯質欠損や残根状態が複数部位に確認されました(黄色矢印部位)。

《治療方針と説明》
患者様には「保存が不可能な歯は抜歯する必要があるが、可能な限り多くの歯を残すことを目指します。ただし、治療には長期間を要します」と説明のうえ、同意を得て治療を開始しました。
確かに、抜歯を多く行い義歯(入れ歯)を装着するほうが治療期間は短く済む可能性がありますが、これは現代の歯科医療における「できるだけ歯を残す」という流れに反するものです。
そのため当院では、たとえ治療が長期に及んでも、患者様の利益を最優先に考え、保存可能な歯の温存を重視した治療方針を採用しております。
次回の投稿にて、治療完了後の状態と詳細をご紹介いたします。
▼治療後の写真と詳細な解説はこちら:
https://www.miraidc.com/blog/post-109/