インプラント症例50代男性

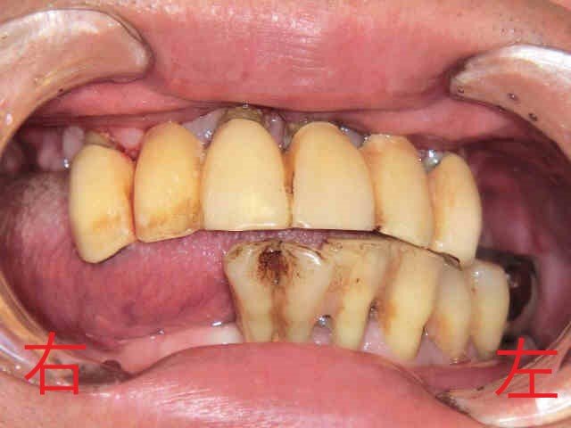
上記写真は、みらい歯科クリニックに来院された兵庫県三木市にお住まいの50代男性の口腔内を正面から撮影したものです。なお、写真の掲載には患者様の同意をいただいております。
患者様は、上のブリッジ(固定式の被せもの)が揺れて何もしていなくても痛みがあると訴えておられました。また、下の歯も歯周病が進行しており、揺れが強く抜歯が必要な状態でした。

下記写真は、同じ患者様の下顎の歯を撮影したものです。歯石が大量に付着し、歯周病がかなり進行していました。そのため歯を支える骨が失われ、歯根(歯の根)が露出しています。
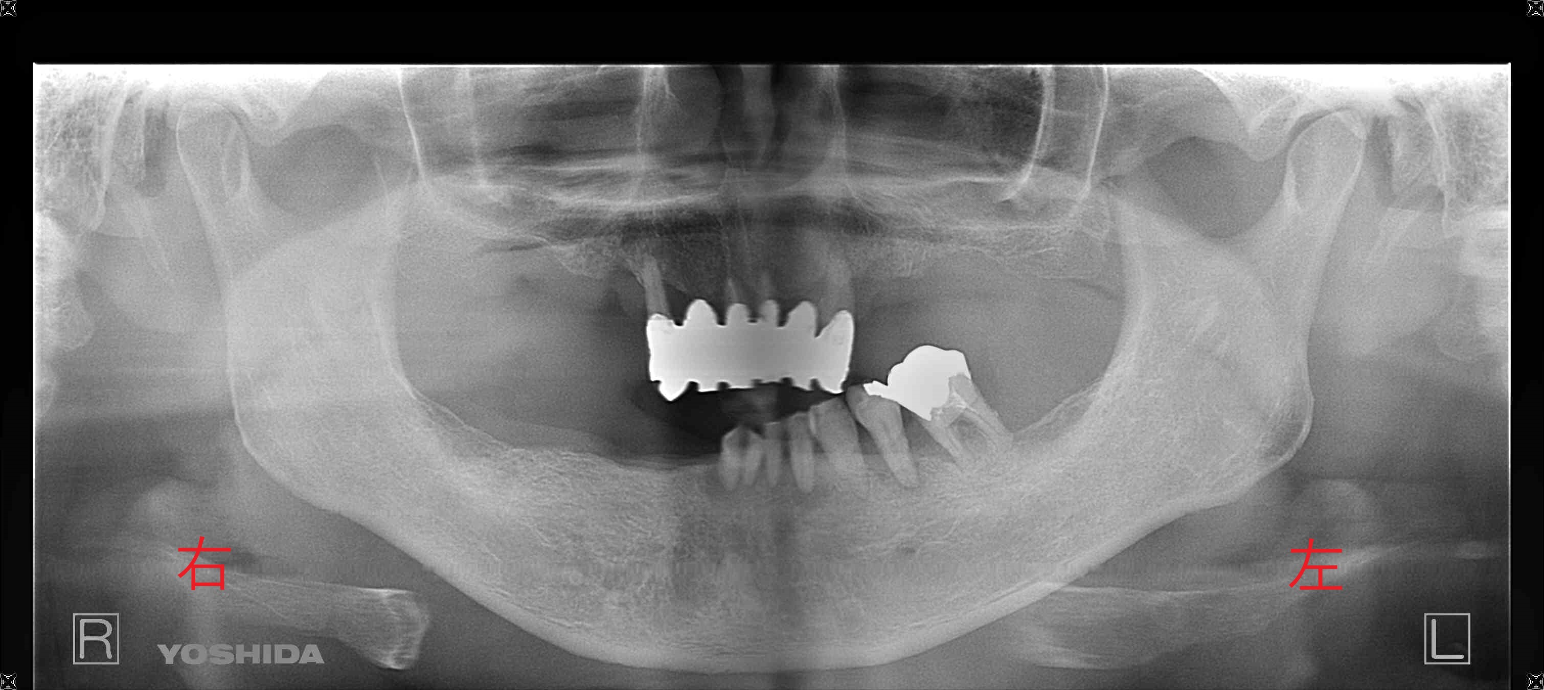
レントゲン写真からも重度の歯周病が確認され、抜歯が必要な状態であることがわかります。こうした場合、歯科医師としても歯を残せないことに無力感を覚える場面です。
患者様とご相談のうえ、上下ともに総入れ歯を作製する方針となりました。理想的には、抜歯後の治癒を待ってから入れ歯を作製することで完成度が高くなりますが、機能性や審美性の観点から、即時義歯(抜歯と同時に装着する入れ歯)を選択することとなりました。これにより“歯がない状態”を回避し、見た目にも配慮した治療が可能となります。
当初は上下ともに総入れ歯をご使用いただいておりましたが、「入れ歯が動いて食事がしづらい」とのお悩みがあったため、インプラントを用いた総義歯(インプラントオーバーデンチャー)をご提案しました。

左の写真は、インプラント埋入後、上顎にロケーターアバットメント(義歯を支える装置)を装着した状態です。右の写真は義歯の裏側で、青色のリテンションディスク(固定用ボタン)が確認できます。これらがかみ合うことで入れ歯が固定され、安定性が向上します。
入れ歯はご自身で取り外し可能なため、口腔内の清掃がしやすく、清潔な状態を保ちやすい点も特長です。
このようなインプラントを利用した義歯を「インプラントオーバーデンチャー」と呼び、義歯の安定性・維持力を高めることができます。患者様からは「従来の入れ歯と比べて食事がしやすくなった」といったご感想をいただいております。
また、インプラントを介して噛む力が骨に直接伝わるため、歯槽骨の吸収が抑制される効果も期待されます。さらに取り外し式であるため、衛生管理の面でもメリットがあります。
治療にあたっては、上顎に4本、下顎に2本のインプラントが必要となります。
また、義歯内面に装着されるリテンションディスクは劣化によりプラークが付着しやすくなるため、インプラント周囲炎を予防するためにも、6か月ごとの定期的な交換が推奨されます。
なお、今回の治療期間は11か月、治療回数は12回、費用はインプラント6本・外科用ステント・上下顎金属床義歯を含めて2,311,200円(税込)でした。
〈みらい歯科・矯正歯科クリニック〉には、三木市だけでなく神戸市西区・神戸市北区・明石市・小野市・加東市・加西市など、さまざまな地域からご来院いただいております。お気軽にご相談ください。」
ご希望に応じて、「さらに専門的な語調」「もっと親しみやすい文体」「SEOを意識した構成」などにも調整可能です。ご指示いただければ反映いたします。