インプラント症例50代男性

上記の写真は、兵庫県三木市にお住まいの患者様の初診時レントゲン写真です。右下奥歯(緑色矢印)へのインプラント治療を希望されて、当院にご来院されました。写真掲載については、患者様ご本人の同意をいただいております。
インプラントのご説明の前に、右下の青色矢印にご注目ください。こちらには、2本の歯で3本分の被せ物を支える「ブリッジ」という固定式装置が入っていましたが、後方の歯に大きな虫歯(カリエス)が再発しています(これを「2次カリエス」と呼びます)。
保険適用のブリッジは、比較的低コストで入れ歯に比べ違和感も少なく、自然な噛み心地を得やすい治療法ですが、ご自宅での丁寧なブラッシング(セルフケア)や歯科医院での定期的なクリーニング(プロフェッショナルケア)を怠ると、虫歯が再発するリスクがあります。
下のレントゲン写真は、インプラント治療後の様子です(緑色矢印)。
インプラント以外の治療法としては、取り外し式の部分入れ歯(パーシャルデンチャー)もありますが、この場合左側の歯にもバネ(クラスプ)がかかる大きめの入れ歯となり、初めて入れ歯を経験される方には違和感が大きくなりやすいため、インプラントの選択が適していると考えられます。

左下のブリッジ(青色矢印)についても、患者様は再度ブリッジによる治療を希望されました。虫歯が大きかったため、神経を除去する処置が必要となり、結果として歯の強度が低下し将来的に歯根破折のリスクが高まる点をご説明のうえ、患者様のご意向を踏まえた治療を行いました。
今後は、ご自宅でのケア(セルフケア)と、歯科医院での定期的なメンテナンス(プロフェッショナルケア)の両輪で、口腔内の健康を維持していくことが大切です。
治療期間は6か月、通院回数は7回、治療費はインプラント2本、GBR(骨造成)、外科用ステント、ハイブリッド冠3本を含めて799,200円(税込)でした。

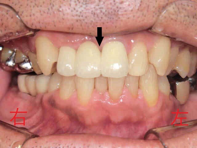
左上の写真は初診時の口腔内写真、右上はインプラント治療を含めた全ての治療が完了した後の写真です。
さらに別の写真では、左上前歯(黒色矢印)に大きな虫歯があり、穴があいている様子が確認されました。治療後は、メタルボンド(セラミックを使用した被せ物)によるブリッジを装着しています。これは、保険適用の素材に比べて変色しにくく、歯垢(プラーク)も付着しにくいため、虫歯や歯周病の予防にも配慮された素材です。

〈みらい歯科・矯正歯科クリニック〉には、三木市のみならず神戸市西区・神戸市北区・明石市・小野市・加東市・加西市など、遠方からも多くの方にご来院いただいております。お気軽にご相談ください。」
ご希望があれば、より短く・専門的に・親しみやすく等の調整も可能です。お気軽にお申し付けください。