小児矯正〈子供さんの矯正〉症例1その6
みらい歯科クリニックでは、小児矯正治療を通じてお子さまの健やかな成長をサポートしています。今回ご紹介するのは、9歳で初診を迎えた女児の矯正治療の経過です。

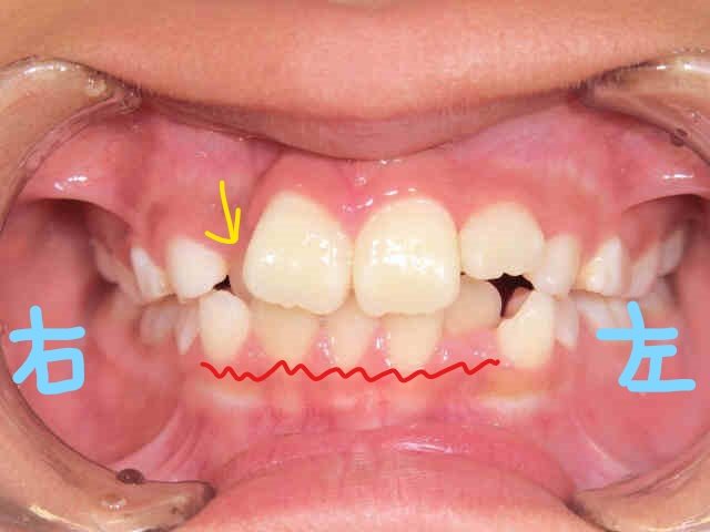
初診時(9歳):上下の前歯に叢生(歯並びの乱れ)が見られ、下顎の成長もやや不十分でした。

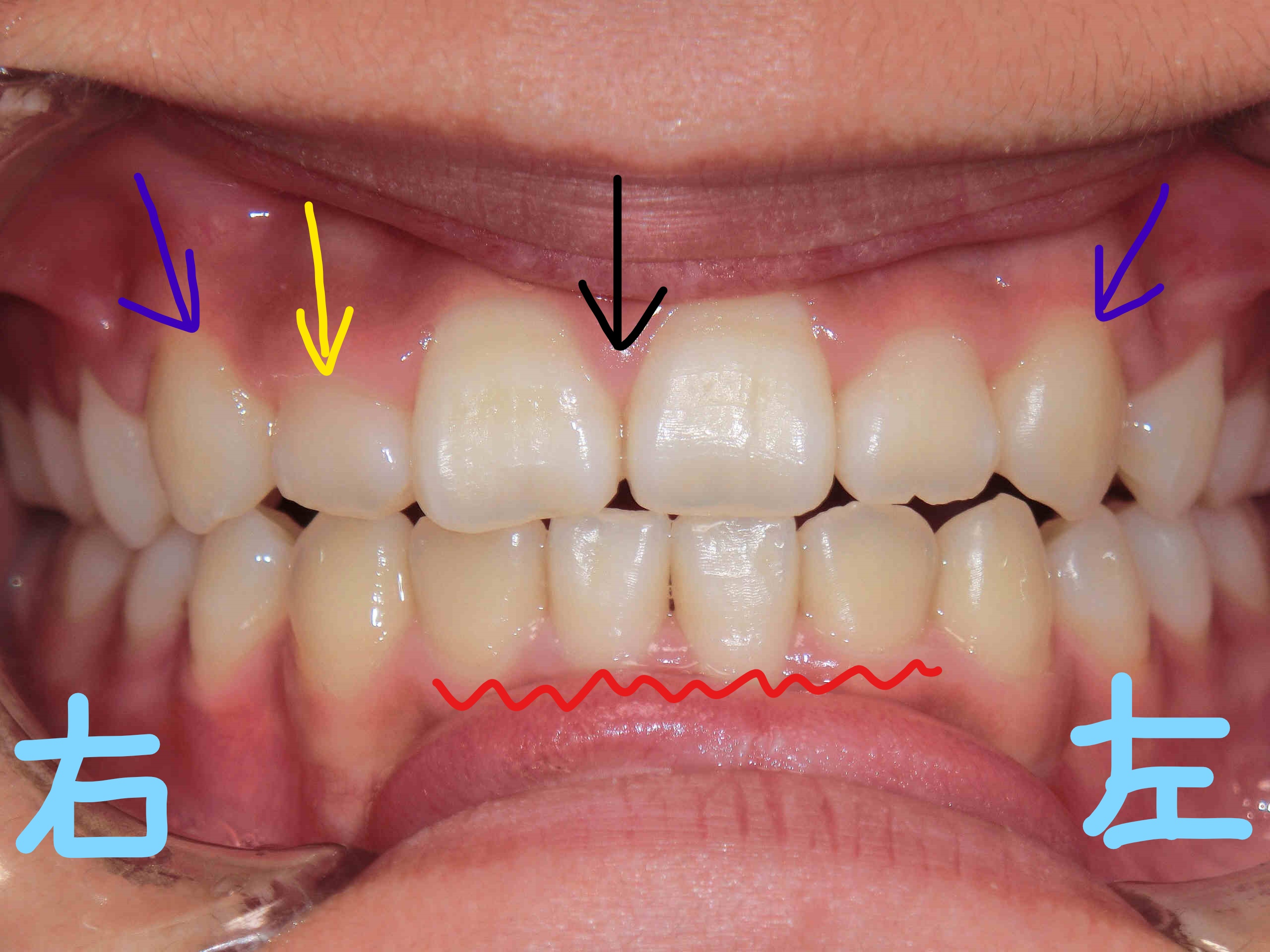
3年後(12歳):治療とともに顎の成長が促され、歯並びは整い、噛み合わせも改善が見られるようになりました。

特に、舌の位置に注目すると、治療前には後方に位置していた舌が、治療後には前方に移動。これは歯列が広がったことで舌が動きやすくなった結果と考えられます。
このような舌の変化は、気道の確保やいびきの予防などにもつながる可能性があると指摘されています。また、舌や口周りの筋肉のバランスが整うことで、噛みしめや歯ぎしりのリスク軽減にもつながるとされています。
このケースでは、治療期間は約2年間(計24回)、費用は税込375,840円(調整料込み)でした。
こんな症状に心当たりはありませんか?
・歯の詰め物がよく取れる
・いびきや睡眠の質の低下
・顎がだるい、カクカクする
・頭痛が頻繁にある
上記のような症状は、歯並びや噛み合わせと関連している可能性があります。成長期のうちに適切な矯正治療を行うことで、こうしたトラブルのリスクを軽減できる場合もあります。
ご家族のお子さま・お孫さまに「気になる歯並び」が見られた場合、まずは専門の歯科医にご相談ください。
みらい歯科・矯正歯科クリニックでは、三木市を中心に神戸市西区・神戸市北区・明石市・加東市などからも多くの患者さまにご来院いただいています。どうぞお気軽にお問い合わせください。
次回は、当院で使用している矯正装置について詳しくご紹介いたします。