小児矯正〈子供さんの矯正〉症例1その5
小児矯正〈子供さんの矯正〉症例1-5:12歳時の口腔内状態をご紹介します。
本症例は、9歳で初診を迎えた女児の治療経過の一部です。今回ご紹介するのは、12歳時の口腔内の状態です。

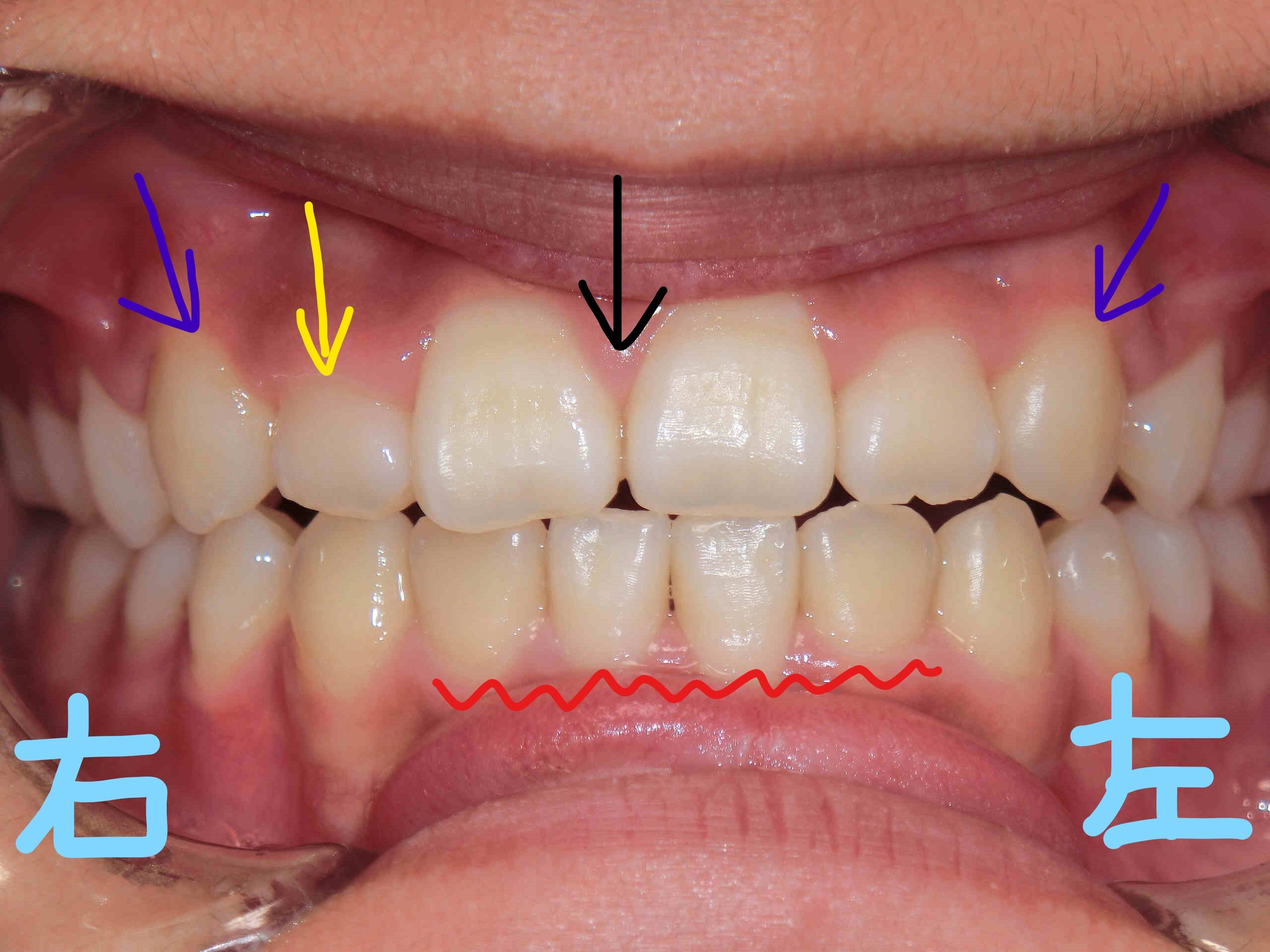
左上の写真は正面から見た状態、右上の写真は下から見上げた角度のものです。上顎前歯(黄色矢印)と両側の犬歯(紫矢印)が歯列内にきちんと収まっている様子が確認できます。
また、以前に固定式の拡大装置(急速拡大装置〈RPE〉)を使用して上顎を拡大した際に一時的にできた前歯間の隙間(黒色矢印)は、治療の経過とともに閉じてきています。
上下顎の状態(咬合面からの観察)

左上の写真は上顎を下から見た写真、右上は下顎を上から見た写真です。第二大臼歯が完全に萌出するまでは経過観察が必要ですが、上下顎ともに歯列の整列が進んでいる様子が確認されます。
※症例によって治療の進行や効果には個人差があります。
次回は、9歳初診時と12歳時の口腔内写真を比較し、治療前後の変化について詳しくご紹介する予定です。
みらい歯科・矯正歯科クリニックには、三木市を中心に神戸市西区・神戸市北区・明石市・小野市・加東市・加西市など、広範囲から多くの患者さまにご来院いただいています。お気軽にご相談ください。