小児矯正〈子供さんの矯正〉症例1その4
小児矯正〈子供さんの矯正〉症例1その4:固定式拡大装置使用後3か月の経過をご紹介します。
本症例では、9歳で初診を迎えた女児に対し、上顎に固定式の拡大装置(急速拡大装置〈RPE〉)を装着し、約3か月が経過した時点での歯列の変化を記録しています。

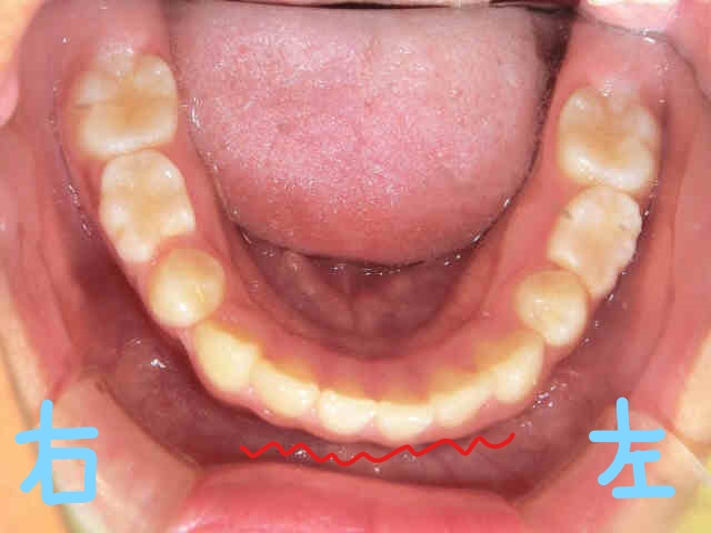
左上の写真は正面からの口腔内の様子、右上の写真は下から見上げた状態を示しています。
右上前歯(黄色矢印)はさらに前方に誘導され、両側の犬歯(紫色矢印)は上顎歯列内への整列が進んでいます。なお、この拡大装置により一時的に前歯間に隙間(黒色矢印)が生じていますが、治療経過とともに変化が期待される部分です。

また、左上の写真では上顎を下から見た様子を示しており、拡大に伴う歯列の変化が確認できます。右上の写真は下顎を上から見たもので、下顎前歯の叢生(赤色波線部分)も整い、改善が見られました。
※症例により効果や経過には個人差があります。
次回は、初診時(9歳)と12歳時の比較写真をご紹介する予定です。
みらい歯科・矯正歯科クリニックには、三木市だけでなく神戸市西区・神戸市北区・明石市・小野市・加東市・加西市など、さまざまな地域から患者さまにご来院いただいております。どうぞお気軽にご相談ください。