小児矯正〈子供さんの矯正〉症例1その2
小児矯正〈子供さんの矯正〉症例1-2:10歳時点での歯列変化をご紹介します。

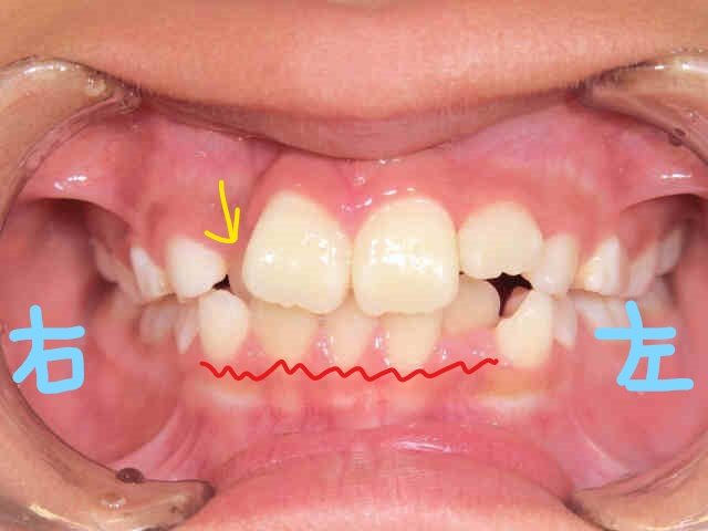
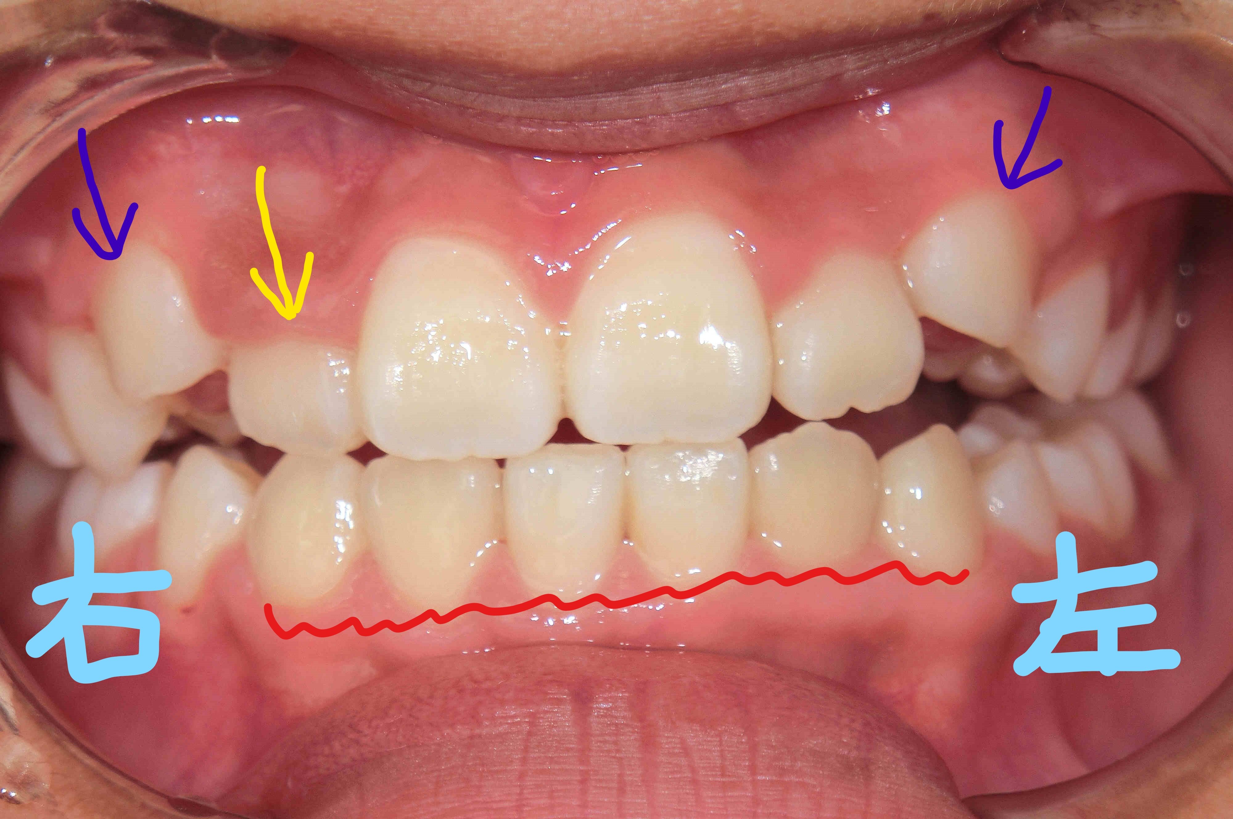
本症例は、当院で矯正治療を開始された9歳の女児の、10歳時点での歯並びの変化です。
左上の写真は正面から、右上は下から見上げた角度の口腔内写真です。初診時には内側に位置していた右上前歯(黄色矢印の歯)が、上顎歯列の拡大によって前方に誘導されている様子が確認できます。また、下顎前歯(赤色波線部分)の叢生(いわゆるガタガタの歯並び)にも改善傾向が見られます。

さらに、左上の写真は上顎を下から見たもので、右上の写真は下顎を上から見た写真です。前歯の整列が進む一方で、上顎の拡大がまだ十分ではないと判断しています。その理由は、上顎犬歯(紫色矢印の歯)が歯列の外側に萌出し、いわゆる「八重歯」になる可能性があるためです。
とはいえ、下顎の叢生が整い始めていることは、治療の進行として望ましい兆しといえるでしょう。一般的に、下顎の歯列調整は上顎よりも難しいとされており、この段階での改善は非常に前向きな変化と考えられます。
※治療の効果には個人差があり、すべての症例に同様の結果が得られるわけではありません。
次回は、11歳時点での口腔内写真をご紹介する予定です。
みらい歯科・矯正歯科クリニックでは、三木市をはじめ、神戸市西区・神戸市北区・明石市・加東市・加西市・小野市など、幅広い地域から多くの患者さまにご来院いただいています。
お子さまの歯並びについて気になることがありましたら、どうぞお気軽にご相談ください。