小児矯正〈子供さんの矯正〉症例1
小児矯正〈子供さんの矯正〉症例1:初診時の歯並びと矯正の考え方

今回ご紹介するのは、2014年当時9歳の女児の症例です。矯正相談にご来院いただいた際、「歯並びが気になる」とのことで、お母さまと一緒にご相談を受けられました。
なお、症例写真の掲載については、ご本人および保護者の方の同意を得た上で、個人情報に配慮して掲載しています。

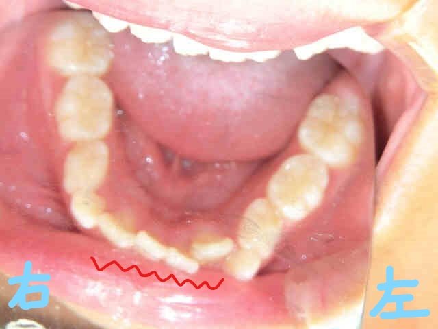
初診時の写真(左上:正面、右上:下から見上げた正面)では、右上前歯(黄色矢印)が内側に入り込み、下顎前歯(赤波線部)には叢生(歯列の重なり=ガタガタの歯並び)が見られました。
さらに上下顎の咬合面の写真からも、上顎前歯の内側移動と、下顎前歯の叢生が確認されます。
このまま成長を迎えた場合、叢生が進行し、犬歯が歯列外に萌出する「八重歯」の状態になる可能性がありました。
このようなケースで、すべての永久歯が生えそろってから矯正を開始すると、歯を並べるスペースが足りず、抜歯が必要な「抜歯矯正」となる可能性が高まります。
みらい歯科クリニックでは、早期(小学校2年生・7~8歳ごろ)に矯正を始めることで、抜歯を回避できる可能性がある「混合歯列期」の治療を推奨しています。
【 歯並びが乱れる原因とは?】
下顎前突(下顎が前に出ている状態)など一部は遺伝的要因もありますが、多くは生活習慣の影響とされています。
現代の食生活では、やわらかい食べ物の摂取が増え、咀嚼回数が減少している傾向があります。そのため、歯に十分な刺激が加わらず、歯を支える骨(歯槽骨)の発育不足が起こる場合があります。
また、アレルギー疾患や鼻炎、花粉症などによる鼻づまりにより、口呼吸をするお子さまも増加しており、これも不正咬合の一因とされています。
口呼吸が続くと、舌が低位となり、上顎の歯列の自然な拡大が妨げられます。また、口を開けた状態が長く続くと、唇を閉じるための筋肉(口輪筋)の発達が妨げられ、歯列に影響を及ぼすこともあります。
口呼吸から鼻呼吸への切り替えは、健全な歯並びづくりの第一歩です。必要に応じて耳鼻咽喉科など他科の医師との連携も視野に入れて対応することが重要です。
次回からは、この9歳の女の子の矯正治療の経過を段階的にご紹介してまいります。
みらい歯科・矯正歯科クリニックでは、三木市を中心に神戸市西区・神戸市北区・明石市・加東市・加西市・小野市など、遠方からも多くの患者さまにご来院いただいております。どうぞお気軽にご相談ください。