ブログ BLOG

部分矯正症例 20代女性

部分矯正の症例をご紹介します(20代女性/右上犬歯・側切歯の整列)

写真  写真 

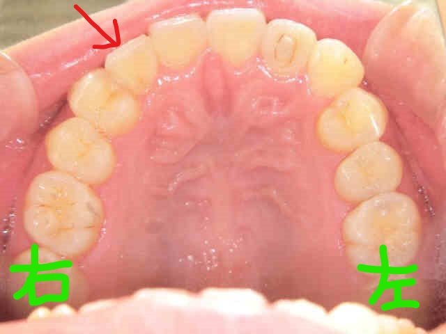
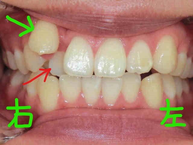
本症例は、兵庫県三木市にお住まいの20代女性の方で、右上の犬歯(緑の矢印)が前方に突出し、側切歯(赤の矢印)が内側に入り込んでいる状態でした。この歯列の改善を希望されて、当院へご相談に来られました。

他院では、全顎的なブラケット(ボタン)装着を伴う本格的な矯正治療(治療期間:約2〜3年)を提案されたそうですが、就職活動を控えており長期間の治療が難しいというご事情がありました。

そのため、当院では右上犬歯の抜歯を前提とした「部分矯正(前歯部限定の矯正)」を選択肢としてご提示しました。治療期間は約7か月で終了し、比較的短期間で側切歯を整えることができました(※効果には個人差があります)。

【部分矯正とは?】

部分矯正とは、主に前歯のみにブラケットを装着し、歯列の一部を整えることを目的とした矯正治療です。症例によっては短期間(6〜8か月程度)での完了が可能な場合もあります。

ただし、適応症例は限られており、すべての患者さまに適用できるわけではありません。

【治療結果とその効果】

右上の側切歯(赤の矢印)が整列されたことで、見た目の印象(審美性)の向上とともに、歯ブラシが届きやすくなり、日々の清掃がしやすくなったとお話されていました(※個人の感想です)。

写真  写真 

治療費は以下の通りです。
・治療期間:7か月
・費用:本体175,000円+調整料(5,000円 × 7回)=合計210,000円(税抜)

みらい歯科・矯正歯科クリニックでは、三木市を中心に、神戸市西区・神戸市北区・明石市・加東市・小野市・加西市など、幅広い地域から多くの方にご来院いただいています。

歯並びについて気になる点がございましたら、どうぞお気軽にご相談ください。
(※治療法の選択・効果・期間・費用は症例により異なります)

WEB予約 タップで電話する