ブログ BLOG

インプラント症例50代女性

本症例は、兵庫県神戸市西区にお住まいの50代女性の方で、左下奥歯が噛むと痛いという訴えでご来院されました。

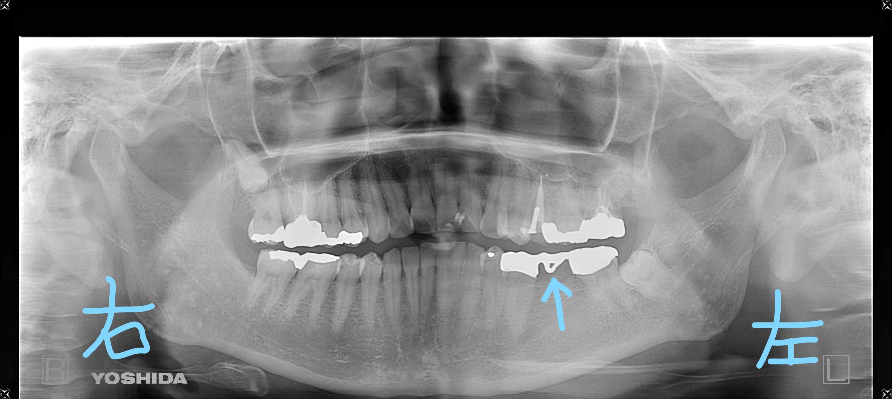
初診時のレントゲン写真(左下の図)では、左下奥歯にブリッジ(被せ物)が設置されていましたが、ぐらつきがあり脱落の恐れがある状態でした(図中水色矢印部)。このブリッジは、歯のない部位を補うため、両隣の歯を大きく削って被せて固定するタイプの人工歯です。
写真

診査・診断の結果、麻酔下で慎重にブリッジを除去したところ、後方の歯が深い虫歯となっており、神経処置(抜髄)が避けられない状況でした。

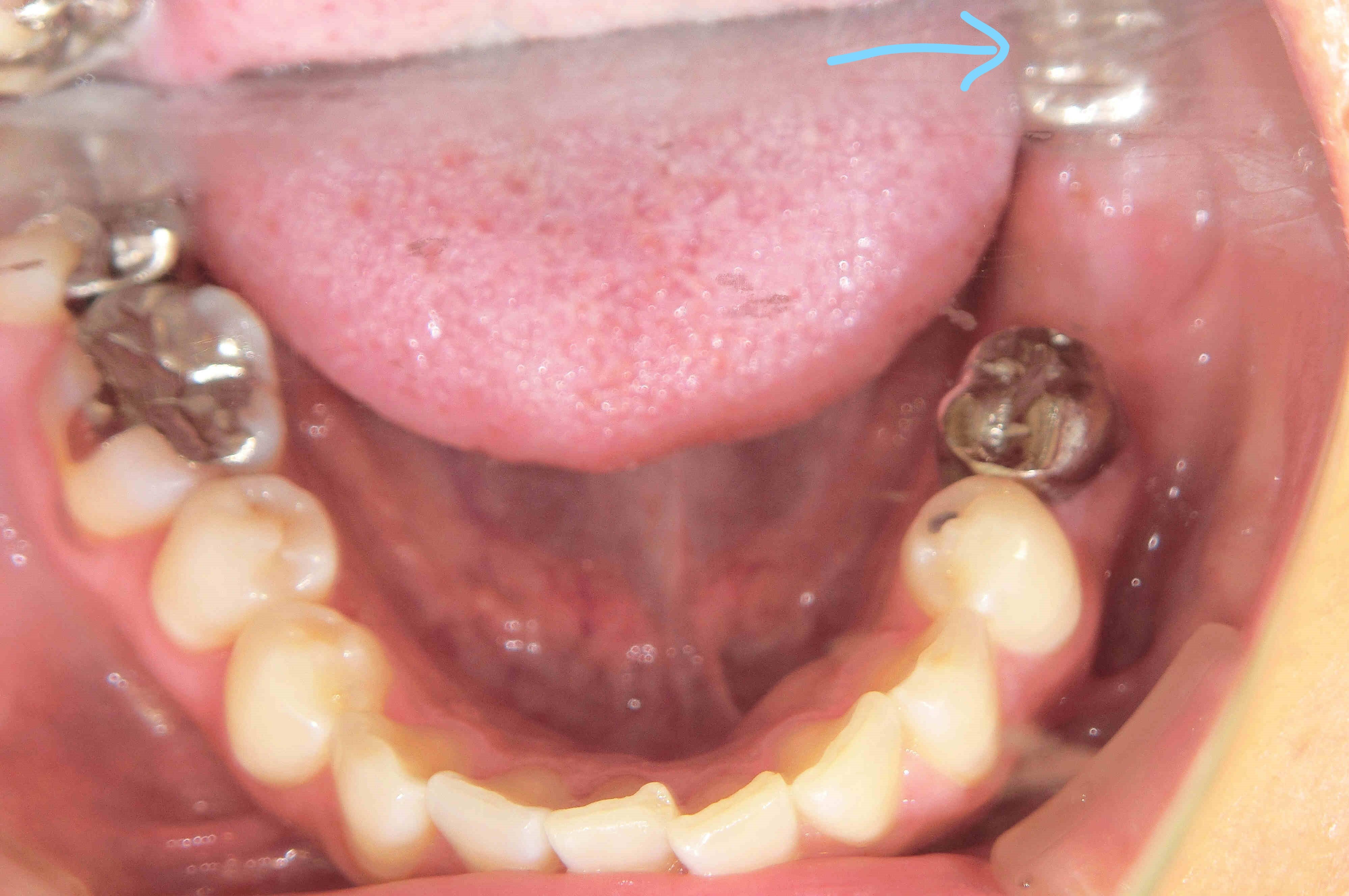
その後、患者さまは「隣接歯に負担のかかるブリッジや入れ歯ではなく、インプラントによる治療を希望」され、左下奥歯部にインプラントとセラミック冠(メタルボンド)を用いた治療を実施しました(右下の写真参照/水色矢印部)。
写真

メタルボンド冠は、セラミック製の外装を持ち、歯垢(プラーク)が付着しにくい構造となっており、インプラント周囲炎などのリスク軽減にも配慮されています(※個人差があります)。
写真

写真

本症例の治療経過・費用は以下の通りです。

治療期間:約3か月(通院6回)

治療本数:インプラント1本+セラミック冠1本

費用:約378,000円(税込)
※あくまで本症例の場合の内容であり、費用・期間・方法は患者さまの状態により異なります。

みらい歯科・矯正歯科クリニックでは、三木市を中心に、神戸市西区・神戸市北区・明石市・小野市・加東市・加西市など、幅広い地域から患者さまにお越しいただいております。歯の痛み・噛み合わせ・補綴のご相談などがございましたら、お気軽にご相談ください。

WEB予約 タップで電話する