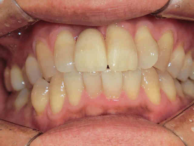
インプラント症例40代男性
インプラント症例紹介(40代男性/右上前歯)
今回ご紹介するのは、兵庫県三木市にお住まいの40代男性のインプラント治療症例です。
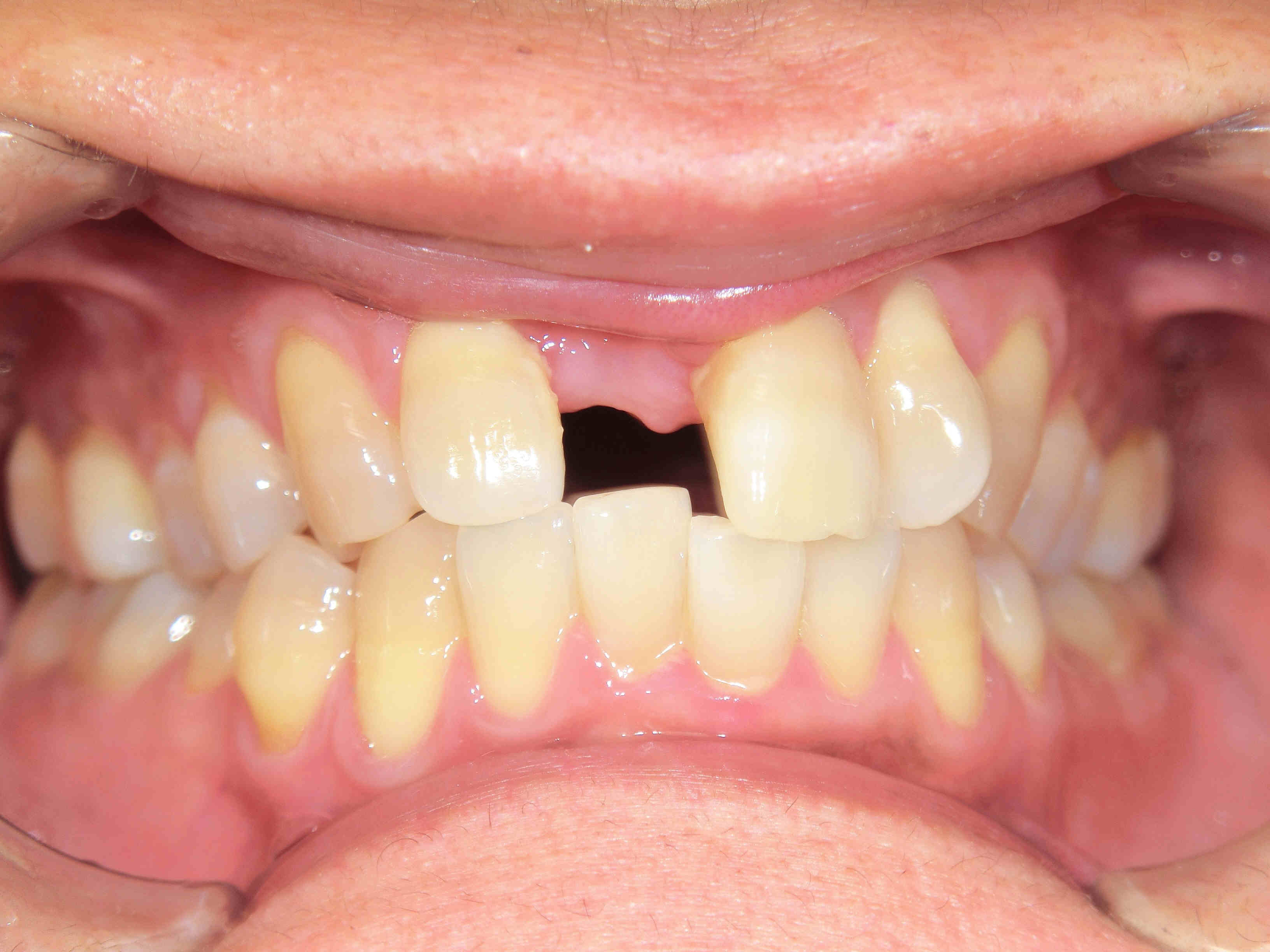
初診時、右上前歯がグラグラしており、抜歯およびインプラント治療をご希望されました。診査の結果、歯根が骨にほとんど埋まっておらず、保存は困難であったため、抜歯を行いました。
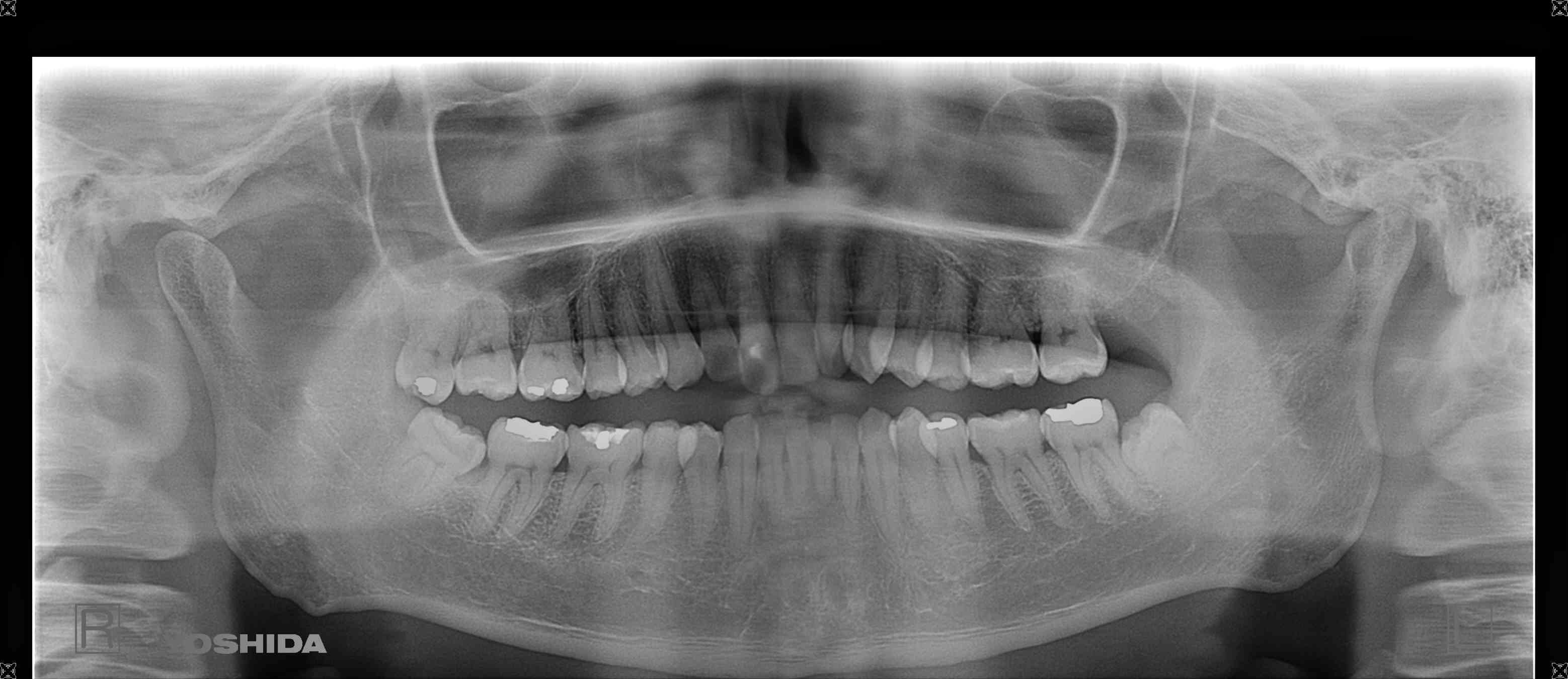
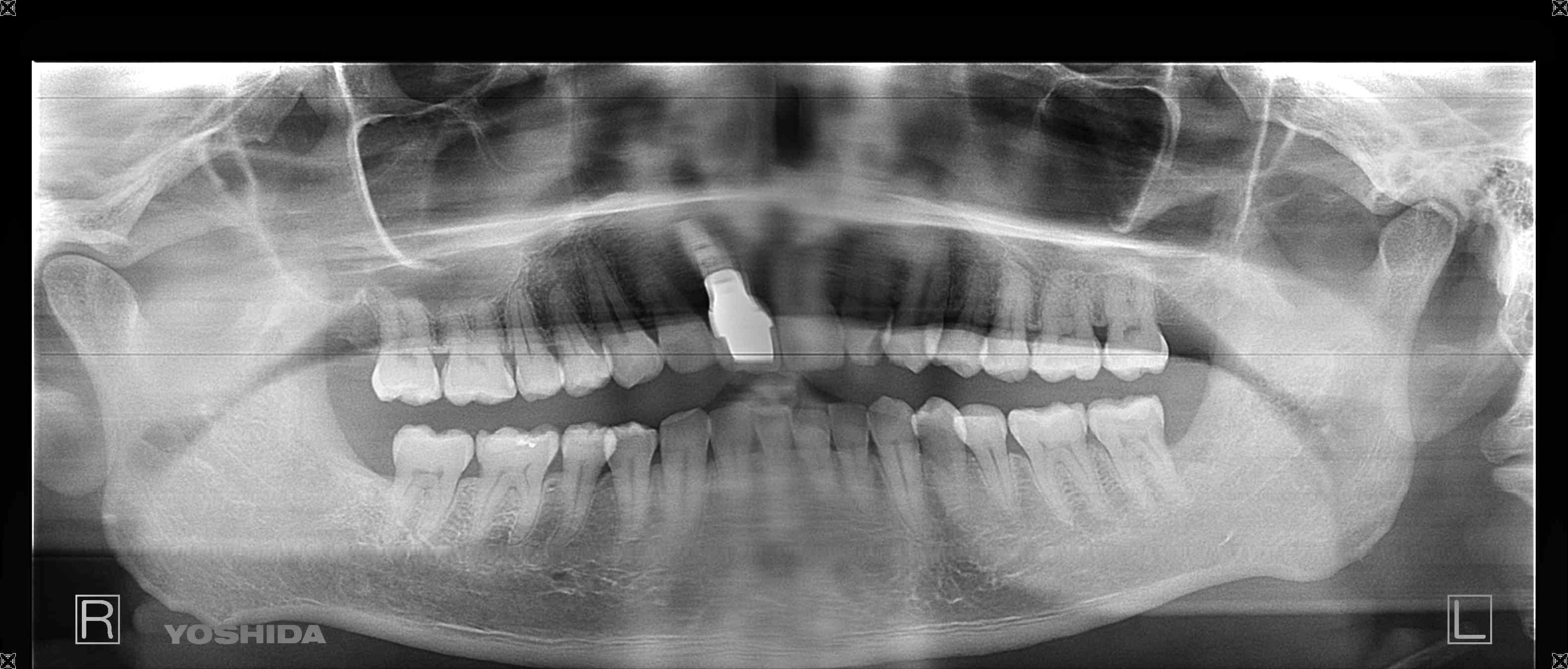
【レントゲン写真】

※下記写真はインプラントの被せ物が入った術後のレントゲン写真

【治療の概要】
抜歯後は骨の幅が不足していたため、骨造成(GBR)を併用し、約半年後にインプラント治療を行いました。
治療に使用したかぶせ物(人工歯)はオールセラミック製で、自然な透明感があり、変色しにくい素材です。また、清掃性が高いとされており、プラーク(歯垢)が付きにくい特徴があります。
【ブリッジや入れ歯との違い】
インプラント治療の利点の一つは、隣接する歯を削る必要がない点にあります。ブリッジの場合は健康な歯を大きく削る必要があり、長期的にはその歯の寿命に影響を及ぼす可能性があります。入れ歯は削る量は少ないものの、維持用のバネが他の歯に負担をかける場合があります。
インプラントは治療期間がやや長くなるものの、周囲の歯に負担をかけずに機能を回復できる方法の一つです。
【治療内容・費用について】
治療期間:約7か月
通院回数:6回
費用:インプラント1本、GBR、外科用ステント、オールセラミック冠を含めて 496,800円(税込)
※治療効果・期間・費用は症例により異なります。
当院では、患者様一人ひとりの症例に合わせた治療計画をご提案しています。三木市を中心に、神戸市西区・神戸市北区・明石市・小野市・加東市・加西市など各地からご来院いただいております。
インプラントをご検討の際は、どうぞお気軽にご相談ください。”