50代女性のセラミック冠による上顎前歯の審美回復症例

兵庫県三木市にお住まいの50代女性が、上顎前歯の見た目(審美性)を整えたいとのご希望でご来院されました。
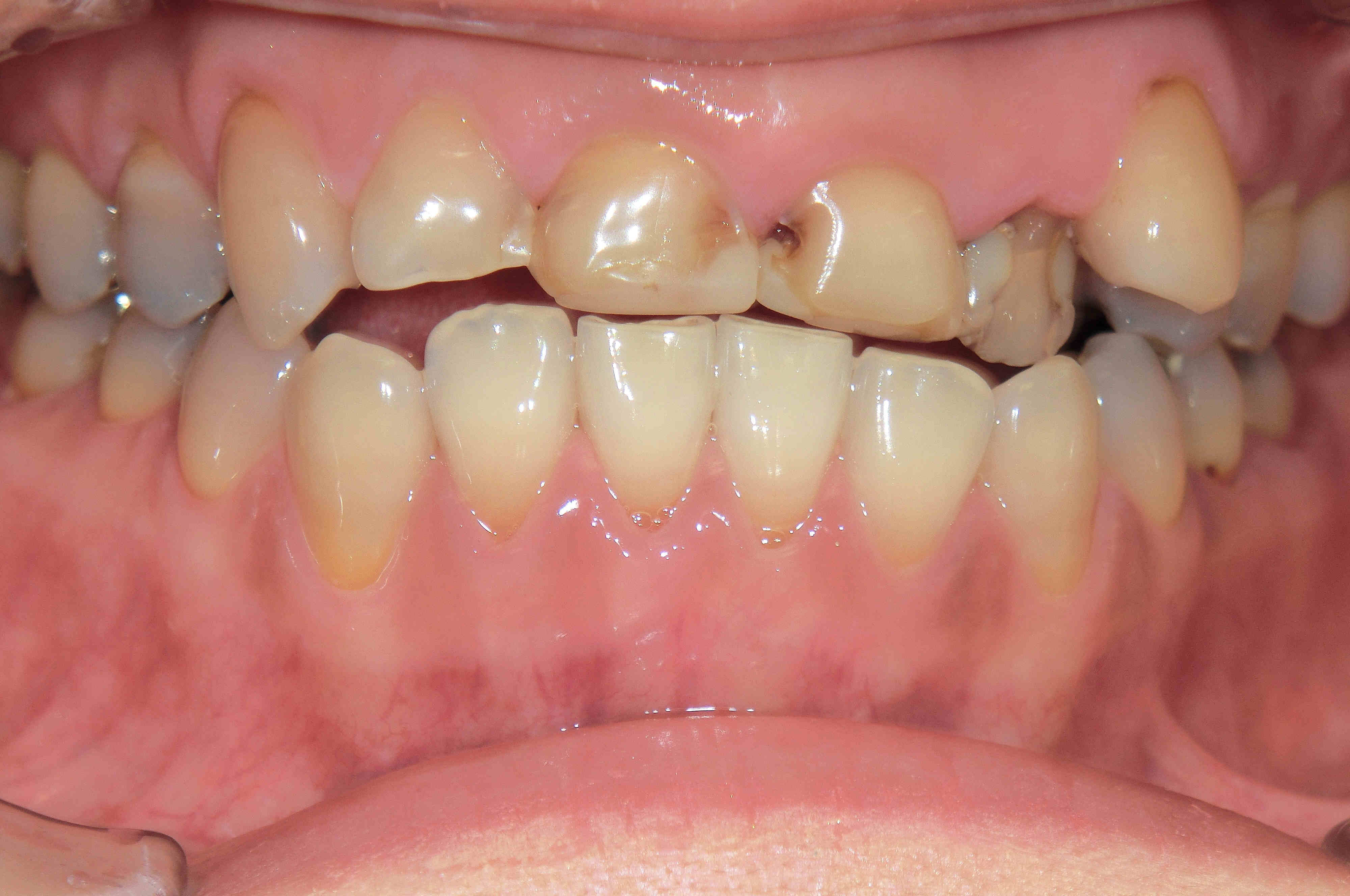
これまで虫歯治療を繰り返されており、保険適用の白い詰め物(レジン)で修復されていましたが、経年劣化や歯ぎしりの影響で前歯が短くなっている状態でした。
上の写真は、施術前の状態です。
患者様のご希望により、金属を使用しない「オールセラミック冠(ホワイトジルコニア)」を装着しました。セラミックは変色しにくく、また歯ぐきとの相性も良いとされており、金属使用時に見られる歯ぐきの黒ずみなどのリスクも抑えられる素材です。
患者様からは、自然な見た目と快適な使用感にご満足いただけたとのお声をいただいております。
下の写真は、施術後の状態です。

治療期間:約1か月半
治療回数:3回
治療費:ホワイトジルコニア冠 4本分で226,800円(税込)
※この治療は自由診療(保険適用外)です。症例によって費用や回数が異なる場合がございます。詳しくはご相談ください。
みらい歯科・矯正歯科クリニックには、三木市はもちろん、神戸市西区・北区、明石市、小野市、加東市、加西市などからも多くの患者様にご来院いただいております。お気軽にお問い合わせください。