みらい歯科クリニック的オフィスホワイトニング2

オフィスホワイトニングとは、歯科クリニックで施術を行うホワイトニング方法で、ご自宅で行うホームホワイトニングに比べて、手間が少なく短時間で完了する点が特長です。
従来から存在する施術ではありますが、当院が新たに導入を決めた理由は、審美性の向上だけでなく、口腔内の清潔維持や予防面にも配慮された新しいホワイトニングシステムであるためです。
導入予定の「MIホワイトニング」は、食事制限が少ない点も大きな特長です。これまでのホワイトニングでは、色の濃い食品(カレーや赤ワイン、コーヒー等)や喫煙を控える必要がありましたが、MIホワイトニングでは厳格な制限はなく、日常生活に取り入れやすくなっています。もちろん、着色を避けることで効果の持続が期待できます。
施術中および施術後の痛みは個人差がありますが、私自身は違和感なく施術を受けることができました。なお、ホワイトニングの効果や白さの程度には個人差があるため、すべての方に同様の結果が得られるとは限りません。
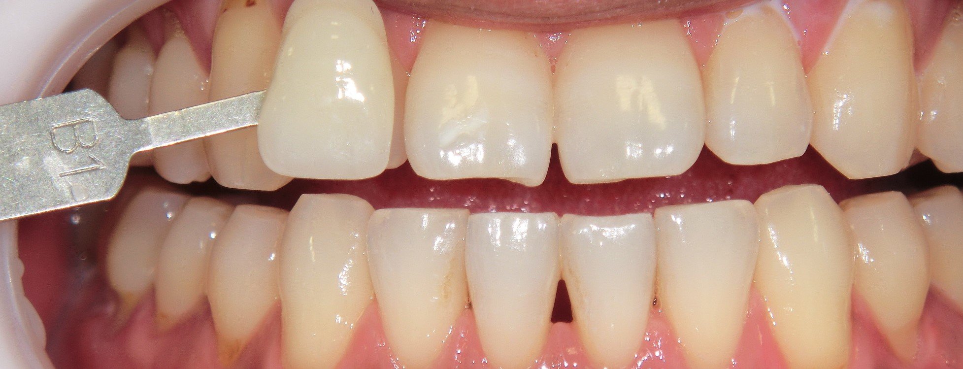
私の場合、1週間に1回のペースで計3回施術を受けた結果、施術前の色(A3)から、明るさの指標として一般的に白いとされるB1程度までトーンアップが確認できました。
また、MIホワイトニングの講師である泉谷先生(堺市・センヤ歯科医院)によると、3〜4回の施術で満足される方が多いとのことです。
費用は1回あたり8,000円(税抜)を予定しております。より多くの方にお試しいただけるよう配慮した設定です。
※ホワイトニングの効果や施術回数には個人差がございます。また、施術後の白さの持続期間も日常の生活習慣によって異なります。