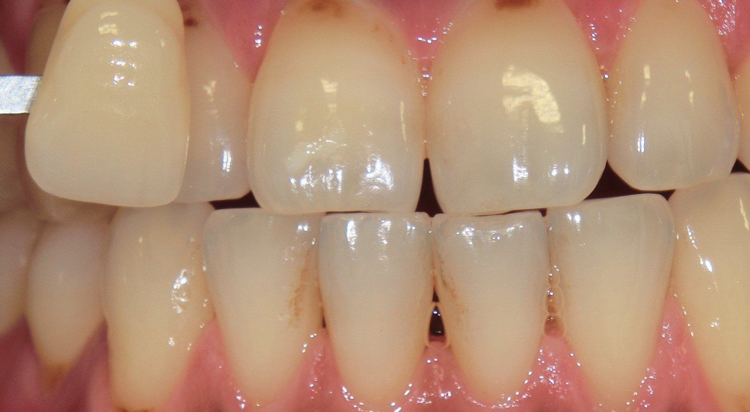
みらい歯科クリニック的オフィスホワイトニング1

当院で導入予定のオフィスホワイトニング(MIホワイトニング)について、導入に先立ち、院長・松本が自ら施術を体験いたしました。
実際に体験してみて、予想以上の変化を実感しました。写真を通して、その効果をぜひご覧ください。
まずは、施術前の状態をご紹介します。
👉 施術前後の写真はこちら

当院で導入予定のオフィスホワイトニング(MIホワイトニング)について、導入に先立ち、院長・松本が自ら施術を体験いたしました。
実際に体験してみて、予想以上の変化を実感しました。写真を通して、その効果をぜひご覧ください。
まずは、施術前の状態をご紹介します。
👉 施術前後の写真はこちら